60代の超・怖がり(歯科恐怖症)の女性。これは、当院で7年前に治療を終えた時の写真。本日の主訴は「右下の歯茎が腫れてきて、入れ歯が痛くて入らない。」でした。
健康な時の歯茎の様子
健康時とは一変、原形が分からない程大きく腫れ上がっています。ただし、見た目では親知らずの歯は確認出来ません。
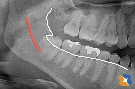
レントゲンでチェックすると、横向きの親知らずの歯が存在することが確認できます。
患者様は、親知らずの抜歯をためらっていました(怖くて)が、当院では点滴を入れて、寝ながら(個人差あり)抜歯をすることが可能であることを伝えたところ、意を決して「点滴付きで抜歯お願いします」と予約の電話を後日いただきました。
抜歯当日、手に汗握る状態で来院。昨夜は怖くて眠れなかったとのこと。さらに、「血管が出にくいので点滴をよく失敗される」とのこと。不安が Maxに…。
おかげ様でスムーズに点滴が入りました。静脈麻酔点滴法のもと、親知らずの抜歯がこれから始まります。
切開すると、大量のクリーム状の膿汁が排出。それが落ちつきだした頃、親知らずの抜歯にとりかかりました。
歯茎の中からは、こげ茶色の歯石で覆われた親知らずの歯が出てきました。
それから、1週間後の消毒時では、すっかり痛みも腫れもひいていました。
〈患者様の声〉
・寝てたので麻酔も抜歯も覚えていない。すごい!本当に楽だった。こんなんやったら、もっと早く抜いておいたらよかった。
・自分の歯を見てびっくりした。
元気・やる気・Dr.鈴木のコラム
親知らず 放置しておくと えっ!こんな事に
カテゴリ:Dr.鈴木日記 歯科全般 親知らず
今年一番の手こずり親知らず
カテゴリ:Dr.鈴木日記 歯科全般 親知らず
神戸市より30代の主婦。主訴は、「近くの歯医者で,この親知らずの抜歯は出来ないと言われた。大学病院を勧められたが、寝ながら(静脈麻酔鎮静法)抜歯出来るところを探していた。なかなか時間が取れないので、一気に左右両方の抜歯をして欲しい。」でした。
レントゲンの結果、右下:横向きの親知らず(向かって左)が、あご骨の中に深く埋もれている事が分かりました。また、左下:上向きの親知らず(向かって右)もなんとなく難しいのでは?と感じました。
横向きの親知らずは、順調に抜歯が終わり、余裕をもって右下の抜歯に取り掛かりましたが、これが思っていた以上に難航。
理由は、女性でお口が大きく開かない事にに加え、親知らずが後ろ向きに生えている(通常は前向き)。また、
①あご骨が直角に立ち上げっているのうえに
②歯の周りにあご骨が取り巻いていたため、
骨の切削が難しく削る量も増えていく、といった問題が発生しました。
試行錯誤の結果、ようやく抜歯が終了しました。その結果、歯は、ミツバチのお尻のように膨らんでいたため、あご骨の中からなかなか出てこれませんでした。
左右の抜歯に合計2時間ほどの時間を要したため、最後の方は鎮静麻酔からも覚めてきていました。抜歯跡にフィブリンの塊を何層も埋めてから、糸を縫いました。
1週間後の消毒の際「どうでした?」の問いに「最初の2〜3日は痛みましたが、今は全く問題ないです」とのことでした。
かなり痛むと思っていただけに、経過が良くて本当に良かったです。
親知らず 腫れてもう懲り懲り
カテゴリ:Dr.鈴木日記 親知らず 親知らずを静脈麻酔鎮静法で 静脈麻酔鎮静法
西宮市から20代の女性。職業モデル。主訴は「歯医者が恐い。でも以前、左下の親知らずを我慢して抜いた時、すごく顔が腫れて仕事にも影響した。残りの親知らずはもう絶対に抜かない!と思っていたけど、『横向きの親知らずが前へ押すと、前歯の歯並びが悪くなる』と言われていたので、腫れずに抜いてくれる歯医者を探していた。それから、歯を抜く時に、唇や顔を引っ張らずに抜いて欲しい。」でした。
レントゲン撮影の結果、右下の親知らずも左上の親知らずも歯茎の中に完全に隠れている厄介な歯である事が判明しました。患者様のリクエストに出来る限り応えられるように努力しました。
歯茎の中に完全に隠れている親知らずの歯の抜歯は、やはり難しいです。
静脈麻酔鎮静法を使っての抜歯を行いました。
歯茎を開くと、下顎の骨の中に完全に包囲されている親知らずの歯を確認することが出来ました。
続きを読む
柔道女子・日本代表の抜歯依頼とは?
カテゴリ:歯科全般 親知らず
7月末、尼崎市より20代の女性。主訴は「8月中旬から柔道の強化合宿が始まる。2年後のオリンピック代表入りに向けてこれから忙しくなるので、1日で親知らずを4本とも抜いて欲しい。」でした。
初診時に歯科用CTを撮り、親知らずの生え方をチェックしました。下の奥の親知らずは見事に真横向きで骨の中にがっちり埋まっています。このような難しい生え方をしている親知らずの抜歯は、2回に分けて行った方が身のためであることを説明しました。ただし、帰省までの間に2回も予約スペースがないため、急遽静脈麻酔点滴法(保険適用)を使って、右下の横向きの親知らずの抜歯1本だけをまず行いました。
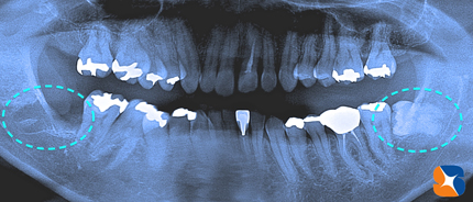
そして日を改め、帰省する前日の今日、残りの抜歯3本(上2本、下1本=点線)を行いました。
続きを読む
NEW STYLE COLLECTION 抜けずに断念された親知らず ④
カテゴリ:歯科全般 親知らず
神戸市より30代の男性。主訴は「1週間前、近所の口腔外科で親知らずの抜歯を2時間ほどかけて行ったが、まったく抜けず大変な思いをしました。抜歯の続きをお願いします。」でした。患部を開けて精査すると、大きく下顎の骨が切除され、穴の奥には大きな親知らずの残骸が、確認できました。
CTで確認すると、逆子のような状態の親知らずの根が、隣りの奥歯と太い神経にはさまれる様な状態で残っていました。
持参されたレントゲンを拝借する限り、歯の頭は骨に覆われ、歯の根の先は風船の様に膨らんでいます。更に、太い神経と隣りの奥歯と接している、超・難抜歯が予測されるものでした。
続きを読む
NEW STYLE COLLECTION 遠方よりIVS付き親知らず抜歯 ③
カテゴリ:歯科全般 親知らず
お昼休み前に兵庫県須磨区から来院された30代の女性。主訴は親知らずの抜歯を希望。「何カ所かHPで調べて
受診したが、ややこしい生え方をしているため全て断られた。超恐がりなので、点滴麻酔で眠らせてもらって一気に全部抜いて欲しい。」と電話で事前に主訴をお聞きしての来院。
早速CT撮影をして資料集め。横向きの親知らずが、太い神経の真上に横たわり、根っこは曲がりくねり、その手前の歯は奥へ大きく張り出し、そこに親知らずの頭がガッチリ食い込んでいる、といった具合でした。
電話で予め、点滴を使った抜歯方法について説明していましたので、ここは私も腹をくくって昼休みの2時間を使って、点滴から抜歯、CGFの再生療法まで下の親知らずを2本同時に抜歯をすることに決めました。 続きを読む
CA名古屋→石切→関空→ドイツ 親知らずの強行抜歯
カテゴリ:歯科全般 親知らず
ドイツ在住のCA。主訴は「実家の名古屋に帰省しているのですが、突然、親知らず辺りに痛みが発症した。名古屋で抜歯をしてくれる医院を探すも「難しい抜歯なのでうちでは無理」と3件続けて断られた。今夜は関空のホテルに泊まり、明日の朝イチ、関空発→フランクフルト行きの飛行機に乗務してCAの仕事が始まる。今日の昼過ぎ、石切に寄るので一度診てもらえませんか?」でした。
名古屋から石切に到着されたのが、PM4:00。まずCT撮影をして親知らずの歯の周囲骨の情報収集を始めました。その間、予約の患者様の治療をひたすら進め、抜歯に必要な時間を作る準備を始めました。CT撮影の結果、名古屋の先生方のおっしゃる通り、太い神経は歯の根の先を走り、骨は
歯をがっちり囲んでいるため、『これは一筋縄ではいかない抜歯』が予測されました。『急患でこの抜歯は確かにきついな…』さらに、『明日から出勤なので、痛みは薬でなんとかするので、顔だけは腫れないようにして欲しい』というリクエストに応えれるかどうか考えましたが、状況が状況なだけに抜歯を決断しました。
抜歯後の腫れを抑えるために、採血をしてCGF(高濃度血小板を多く含んだ凝縮フィブリノーゲン)を製作しました(無料)。
※抜歯後の糸は、溶ける糸(バイクリル:無料)を使用しました。
これは、抜歯した親知らずです。周囲骨を多く削ると痛みや腫れが伴いますので、歯を細かく切断して、アゴ骨への負担を軽減しました。
予測した通り、抜歯に約1時間ほどかかった難しい抜歯でした。抜歯した痕には、自己血液で院内で製造したCGFをたっぷり挿入し、溶ける糸を使って無事に終了しました。
〈次の日の早朝、関空より電話〉
•痛いことは痛いけど、薬で治まっている。
•腫れは全くない。
•無理をきいて頂きありがとうございました。スタッフの方々も素敵な方達で感謝しています。
〈ドクターの感想〉
痛みや腫れは抜歯時間に比例するため、『今回は腫れる』と内心予測していましたが、腫れが無いと聞き、安心しました。これは明らかにCGF(コラーゲンの凝縮)の存在無くしては語れません。世界で働く女性に少しでもお役にたてて、幸せな限りです。
京都から2児のママ「全く痛くない歯医者を探してます」
カテゴリ:審美 歯科全般 親知らず
30代の女性。お電話にて「恐いのと、痛いのは絶対にダメ。それに、小さい子どもがいるので、むし歯の治療と親知らずの抜歯(4本)を全部まとめてやって欲しい」とのことでした。
傾く右下の親知らずを除けば、残りの親知らず3本は、傾くことなく真っすぐ生えていました。これなら、患者様の要望通り、4本の親知らずの抜歯とむし歯の治療をまとめてさせて頂けると判断しました。
早速、無痛鎮静法(保険)で治療に取りかかりました。 続きを読む
横向きの親知らず 痛みと腫れをブロック
カテゴリ:歯科全般 親知らず
奈良より50代の男性弁護士。主訴は「昔に比べて歯並びが狂ってきた。前歯が飛び出してきたので、友人の歯医者へ行ったら『横向きの親知らずが前に押してきているからだ』と言われた。紹介された大学病院で右下を抜いたが、麻酔が効きにくく、抜いている時も相当痛くて辛い思いをした。抜いた後も発熱とひどい腫れのため、仕事に影響した。痛くなく、腫れない抜歯を望んでいます。自費でも結構ですので宜しくお願いします」でした。
横向きに生えている親知らずのほんの一部だけが見えています。
お口全体のレントゲン写真。向かって左が3ヶ月前に抜いた痕。向かって右が今回の依頼場所です。 続きを読む
どこへ行っても断り続けられた抜歯
カテゴリ:歯科全般 親知らず
HPより30代の女性。主訴は「左奥の歯茎が、うずき出して痛い。実は一度、10年前に長い時間をかけて抜いてもらったが、中途半端に終わった。当時の先生云く『全部抜けてないけど大丈夫。全く心配ないよ』と言われた。えっ?残してても本当に大丈夫なん?と耳を疑ったが、あの時の痛みと恐怖を思い出すと残りを抜歯する勇気がないまま今日に至っている」でした。
歯の頭の部分だけ抜き取られていたため、10年の歳月を経て横向きの親知らずが1㎝程前に前進。その結果、手前の歯と新しく出来た上からの骨と歯肉に覆われているため、抜歯を行うには更に条件が悪くなっていました。 続きを読む











