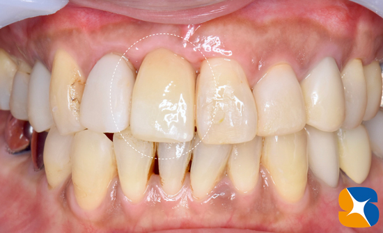
R8・3/11 完成まで8ヶ月を費やしましたが、無事に完成しました。
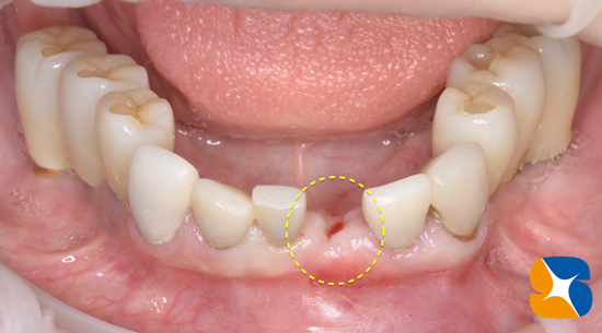
インプラントをネジ止めする直前の状態です。
とても良い状態に仕上がりました。
※総額45万円(静脈麻酔鎮静代、骨の増殖代も含む)
↓下記の内容はR7・6/24の掲載記事(昨年)
尼崎市より30代の主婦。主訴は「子どもの頭突きで前歯の根が真っ二つに折れているので抜歯になる と近くの歯医者から宣告。グラついて、噛むごとに痛いので、ボンドで止めてもらっている。そこでは、3連結のセラミックブリッジ(見積り40万)を勧められた。TV.CMで見た「インプラント」を希望したが、インプラントを行っていなく、否定をされた。理由は「抜歯をして、骨が出来るまでに、約1年。そこからインプラントの治療が始まるのでトータル1年半かかる。さらにTV.CMの「あんしんインプラント」が紹介する歯医者との間で契約が成立すると、紹介報酬料を患者に負担させるシステムらしい。つまり、通常40万の治療費で済むところが、上乗せされて50万近くになるらしい。」と安心とはかけ離れた裏情報を聞かされた。
母が前歯のブリッジをしていたが、支えの歯が折れて難儀した事を聞いていたので、ブリッジは避けたくて色々探して鈴木歯科医院を探し出した。」でした。
当院の症例コラムも完璧に熟読されていましたので、CT撮影診断の結果、抜歯&インプラント手術を同日に行い、「トータル6ヶ月の治療期間で一生使ってもらえるあんしんインプラント」の説明をじっくり行い、治療を始めました。
CTで事前に折れ具合を把握していますので、残された骨を損ねないように時間をかけて慎重に抜歯を行いました。
抜歯跡にインプラントネジを埋め込んで行きます。ここが最も難しい難所です。
自己血液からコラーゲンを製作して、人工の骨と絡めて一塊にして操作性を高めたものを骨の欠落部に補填します。およそ5ヶ月で硬い骨に置き換わります。
失った骨を短期間で再生させる最新技術です。
仮歯を付けて手術終了。お疲れ様でした。
静脈麻酔鎮静で寝ながら施術が行えましたので、怖さや痛さは全く無かったと、喜ばれていました。
鈴木歯科医院では価格も含めて「究極のあんしんインプラント」を実践しています。
・保証期間10年(最低1年に1回はインプラントのメンテナンス必須)
・静脈麻酔鎮静法をで寝ながら行います。どなた様からも追加料金は頂いておりません。
・異物であるインプラント金属(チタン)や人工骨を自己血液から製作したCGFコラーゲンと絡めさせ、体に親和をせてから移植します。
ほぼ材料代のみを追加で頂いています。
元気・やる気・Dr.鈴木のコラム
3/11(水) TV CM「あんしんインプラント」って信頼出来ますか?(インプラント)
カテゴリ:Dr.鈴木日記 インプラント ブルーラジカル 歯科全般
2/16(月) 新開発!沈まない!ナチュラル•ノンクラスプ入れ歯 参入!!(入れ歯)
カテゴリ:Dr.鈴木日記 入れ歯
東大阪市より60代の女性。「受け口がひどくて、噛み合わせが悪い。いろんな歯医者で入れ歯を作ってもらったがまともに噛めない。歯科医からは『保険の入れ歯では無理。インプラントしかない!』と突き放され、見捨てられる。息子に調べてもらってここに来た。」でした
通常通り自費の入れ歯を作る時と同じ手法で、保険の入れ歯を作っています。
最近、入れ歯を作る若手の技工士さんの成り手がありません。また技工士さんも高齢化が進んだことに加え、優れた入れ歯を作る技工士さんの制作代金がかなり高くなりました。医院はコスト削減のため、入れ歯のレベルは下がる事はあっても、上がる事はまずありません。入れ歯作りは、こだわる程お金がかかりますので当然です。
ただし当院では、開業時より【保険で最高の入れ歯を作る】と言う理念は一貫しております。
いっさい手を抜く事もなく、材料をケチる事もなく、時間とお金費やしています。保険でも数万年を支払っていただく限り、ベストを尽くしています。
いつも通りの保険の部分入れ歯が完成しましたが、どうしても金具のバネが…。
「これまでの入れ歯の中で一番噛みやすいわ!でも見た目気になる」とのこと。
今まででしたら「すいません。これ以上は…」と謝っていたのですが、昨年から技工士さんと打ち合わせを重ね、
新たな入れ歯に取り組むことにしました。
保険の部分入れ歯をカットして、目立たない様に改造できる様にしました。
金具を取っ払って、弾力のある特殊なピンク樹脂を使って「目立たない、沈まない、パカパカしない」入れ歯に改造(アレンジ)します。
アレンジは1箇所につき¥50,000円です。まずは保険の入れ歯を使っていただき、痛い部分を調節して、慣れることが条件です。
これなら使える、大丈夫!ってなった場合に限り、アレンジしたい入れ歯を預かり、注文を受付ています。
2 / 5(木) 抜歯中の予期せぬ大量出血に即効性CGF使用(ドリーム抜歯)
カテゴリ:Dr.鈴木日記 歯科全般 親知らず 親知らずを静脈麻酔鎮静法で 静脈麻酔鎮静法
滋賀県野洲市より50代の男性。主訴は「右下の親知らずを10年ほど前に抜いた時、1時間ほど経っても全く抜けず、これ以上アゴを開けられない為「もう止めて下さい!」と叫んでいるのに無理やり抜かれた。その後、高熱と酷い腫れで2週間ほどまともな食事が出来ず、ドライソケット様な症状が始まり、抗生剤を1ヶ月間も飲み続けた。ところが最近になって左下の親知らずが痛み出したので、あの時の恐ろしい記憶がよみがえり、ネットで必死に探しまくってココを見つけた。鈴木歯科医院のHP内の抜歯症例は全部見た。鈴木先生なら任せられそうだった。」
JR滋賀、京都、奈良および近鉄電車を乗り継ぎ、遠路はるばる有難うございます。特に難しい抜歯ではなさそうなので、心配ないですよ。いつも通り、点滴で寝てもらいながら、抜歯後にはドライソケット予防の自己血液コラーゲンCGFを入れて穴を封鎖して終わらせます。
抜歯開始。歯冠を切断分割して半分抜歯。残りの歯根はアゴ骨で覆われているため、出口を広げるために骨切りを開始。
すると骨面から湧くようにドクドク、ジワジワと骨内出血が起こりました。
視野が多量の出血で埋まり、出血点が把握出来ません。この手の出血は常に想定内ですが、やはり肝が冷えます。
ガーゼ圧迫をしばらく続けますが治まりませんでした。
血管収縮作用のある局所麻酔液を数本入れてから、予め用意していた採血から作ったフィブリンコラーゲンCGFを止血剤として溢れる血の中に挿入します。あとはガーゼで強圧迫して止血を冷静に待ちます。
CGFの止血効果は絶大です。ものの5分程で止血は完了しました。やっと治療の再開ですが、今度はなかなか硬くてスムーズに抜けません。すると「パキッ!!」と嫌な音がしました。
苦労は続くものです。
歯根の先が折れてしまい、アゴ骨の奥底に残した状態で歯が抜けました。
めげずに残された歯根の先端を取りにいきました。
無事に摘出。
歯根の先がくの字に折れ曲がっていたため骨に引っかかり、なかなか動かず抵抗していたようです。
その日の夜、電話をかけて経過を伺うと「痛みは薬で治っています。何にも覚えていません。ほんと楽に終わって感動しています」とのこと。それから1週間後、消毒と抜糸で来られた時、撮った写真を総て見せて出血の件と取り残した歯根の話しをすると、大変な抜歯であったにも関わらず何も覚えていない事に大喜びされていました。
ドライソケットを発症することなく経過良好です。
「鈴木先生に抜いてもらってなかなか良かったぞ!」と話題にしてもらえるような抜歯をすることが、私の真意です。
このドリーム抜歯の準備と後片付けをしてくれるスタッフには感謝しかありません。
1/21(水) ガン治療で一時中断から無事にカムバック(インプラント)
カテゴリ:Dr.鈴木日記 インプラント 歯科全般 静脈麻酔鎮静法 骨の最新再生医療
今年、1番最初のインプラント手術の患者さんです。昨年から今年最初のトップバッターに是非させていただきたいと私が希望した患者様です。すべてを乗り越え、再度インプラント手術の場に戻ってこられました。こちらも失敗するわけにはいきません。気合入ります。

2024年、7月。吹田市より建築設計士の女性40代。主訴は「ぐらついていた前歯が噛んでも痛くなってきた。抜歯後はインプラントにしたい」でした。
後日、インプラントの手術を行う予定でしたが、CT画像で予測していた以上に実際には骨が大きく失われてたため、手術は中止となりました。
骨を作って、8ヶ月後に再度インプラントの手術をすることになりました。
急遽、失われた骨の回復のため、自己血液を使ったコラーゲンと人工の骨とコラボさせた一塊の骨の塊を欠損部に補填しました。
自己血液から抽出したコラーゲンを圧縮させて、人体が異物と100%ジャッジすることのない天然コラーゲンシートを骨の上にカバーして手術を終了しました。
後は8ヶ月ほど待って、R8年の2月頃にインプラントの手術を行う予定でしたが、驚きの電話が入り、人間ドックで癌が見つかったため完治に向けて治療に専念されることなりました。
2025年、11月。ガン治療が落ち着いたので治療の再開を希望される電話を頂きました。
R8年1月、インプラントの手術本番。骨の再生治療を行ってから1年半が経過。ガン治療の影響で骨の厚み、強度、耐久性、全てが心配でした。
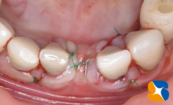
骨の厚みが薄い以外には失われていた骨をしっかり出来上がっています。あとはドリルを刻む場所が技量を問われます。
これ以上ない位置にインプラント移植が完了致しました。完璧です。
3ヶ月後には仮の歯を入れる予定です。長い期間、病院食を取られ、退院後は魚料理を中心とした献立に切り替えたそうです。血液から作ったCGfも白く曇ることなく、綺麗な黄色で弾力のあるプリプリしたコラーゲンが何よりの証拠ではないでしょうか。初夏には綺麗に完成された前歯をご提供出来そうです。
1/1(木) 口コミ「静脈鎮静麻酔で難抜歯を保険で。鈴木歯科を選んで良かった理由は」
カテゴリ:Dr.鈴木日記 歯科全般 親知らず 親知らずを静脈麻酔鎮静法で 静脈麻酔鎮静法
12月27日(土)今年最後の親知らずの抜歯。
モデルの方のため年末年始の休暇を使ってこの日を選択されました。
静脈麻酔鎮静法で寝ながら意識を無くして、難抜歯に取り組み出して早7年が経過しました。
これまでに、患者様のご意見で多かったものに
・保険料金では冷たく断られる。
・保険で静脈麻酔法を扱っているが、肝心の「抜歯が難しい」と言って断られた。
・麻酔科の先生を呼ぶため別途70,000円が必要と言われた。
・抜歯痕のドライソケット対応まではしてくれない。希望すると数万円を要求された。
・HPでうたっている内容と実態とではかなりの異なりがあった。
など多くの意見を受付で聞かせてもらいました。
同じ医療側の立場として、人件費、医療物資の高騰、働き方改革…など仕方がないのかもしれません。
しかし、当院では令和8年も【患者様ファースト】の精神にブレることなく、尖り続けていきます。
院長自らが、
率先して、
素晴らしい健康保険に、
静脈点滴麻酔を取り入れ、
ドライソケットも発症させないように、
最大限の配慮を続けて、
横向きの超難抜歯に、
トライして参ります。
インプラントや骨の再生治療時の静脈麻酔鎮静やブルーラジカルの無料化も継続していきます。

2025年も多くの患者様にご来院して頂きありがとうございました。
衛生士も引越し転医及び 産休&育休で戦力不足が生じていますが、人材紹介会社から数名を採用して回復させますので今しばらくお待ちください。
2026年も精一杯歩んでいきます。 院長
12/25 クリスマス set スマイル (インプラント)
カテゴリ:Dr.鈴木日記 インプラント
初診が今年の1月。主訴は「痛みや腫れを繰り返すが、かかりつけ医では毎回麻酔をされて、歯茎を切って、お薬を出されるだけ。不信のため当院に来院。」
CT画像の診断結果、歯根破折による大きく骨の欠損及び腫瘍の発生。即抜歯を必要とする診断。
患者様はインプラントを選択され、抜歯から10ヶ月後の今月、無事にインプラントがセットされました。
初診時、歯茎から出来物の腫れを認めます。これが1年以上続いているとのこと。
抜歯した歯根の先端には肉塊の腫瘍が一緒に付着していました。どんどん骨が溶けていく根源です。
腫瘍摘出ドリルで骨に付着している肉塊を徹底的にはく離させます。
唇側の半分がほとんど骨が失われていました。この状態からインプラントを移植して、不足している骨も同時に再生定着
させていきます。
増設した人工の骨をより定着させるために、血液から作ったコラーゲン膜を何層にも敷き詰めていきます(無料)。あとは仮歯を施して、骨が固定するのを6ヶ月間待ちます。
①抜歯と②インプラントの移植と③欠落した骨の再生の3つを1日で完結させました。通常なら2年近くかかる治療内容を当院では半分で終わらせる事に注力しています。
クリスマス前に届いた綺麗に仕上がった前歯をセット致しました。完璧な仕上がりに、とても喜んで下さいました。
今年は123名の患者様に静脈麻酔鎮静法を100%併用しながら(相場7〜10万の追加料金は当院では無し)、インプラント施術をさせていただきました。
今シーズンからインプラント手術者には「ブルーラジカル」を使用して(これも追加料金なし)、残った歯に歯周病対策も強化しました。
今年中に手術が出来なくて、かなりの患者様を1月以降にシフトさせていただいています。
更に、沖縄、富山、福井、滋賀からのホテル泊まりの遠方組も含まれていますので、自身の体調をしっかり整え、全集中で熱く取り組んでまいります。
来年度も引き続き、宜しくお願いします。 院長
10/17(金) 一生持つインプラントに骨の再生プラン付き難症例❸
カテゴリ:Dr.鈴木日記 インプラント 歯科全般
30代の女性。主訴は「 5年前に入れたセラミックの歯が欠けた。最近、歯茎も腫れてきて違和感がある。治療をしてもらった歯医者にその旨伝えたものの、『歯ぎしりがひどいだけであって歯自身には特に問題がない』と言われた。 やっぱり何かがおかしいので、 主人が通っている鈴木先生の意見を聞きたくて来た」でした。
一般的なパノラマレントゲンで見ると確かに何もないように見えますが、当院でのCT画像で診断すると根の先の骨が溶けて大きな肉塊(良性腫瘍)が あることが判明しました。患者様は動揺していましたが、症状がひどくなる前に抜歯と骨の造成(再生治療)をお勧めしました。
抜歯を行うと歯の根の先から大きな膿の袋が出てきました。違和感の原因はこれです。大きな穴の空いたこの状況では、最も太いインプラント(メガジェン直径8㎜)を使用したとしても定着する事はまず無理です。
密度の高い硬い骨に置き換わるまで約半年間あります。失った歯の場所に何を入れるかは、この間じっくり考えて下さい。
ひとまず終了です。
骨作りをして半年後、ブリッジや入れ歯を嫌がられた患者様はインプラントを選択されました。
あれほど大きく欠落していた骨は、しっかりと硬い骨に置き換わっていました。
完璧です。
患者様の人生が私の腕にかかっています。その全責任を受け止めながら、残り5日続くインプラント手術を、歯を失って悩んでいる方へ後押しになることを願ってお伝え続けます。
10/16(木) 一生持つインプラントに骨の再生プラン付き難症例❷
カテゴリ:Dr.鈴木日記 インプラント 歯科全般
今から17年前。2008年4月1日初診で来院。 前歯が生まれつきなく、プラスチック製の歯を ボンドで貼り付けてもらっているが見た目が悪いので綺麗にしたい。
でも歯の治療が 怖すぎても何も受け入れることが出来ない。が主訴の方でした。
2025年9月、17年ぶりに来院。 主訴は前歯の変色がいよいよひどくなってきた。 今回はインプラントをしてもらう覚悟で来ました。
かなり怖がりなので、静脈麻酔鎮静法で寝ながらお願いしますとの事でした。
前歯と前歯の歯根間が非常に狭く、 一方間違えれば、歯根に ドリルの先端が突き刺さる可能性を伝え、インプラントの手術は非常に難航する旨を伝えました。
静脈麻酔鎮静法を使い、スヤスヤ寝て頂きながら、難しい手術に入っていきます。
歯根と歯根の間が5㎜ほどしかないため、細心の注意を払いながら慎重に手術を進めていきました。
良い位置にドリルのセッティングが終わりました。 いよいよインプラントの軸を植立していきます。
インプラントをコラーゲンの中にしっかり染み込ませたものを植立していきます。
患者様の人生が私の腕にかかっています。その全責任を受け止めながら、残り6日続くインプラント手術を、歯を失って悩んでいる方へ後押しになることを願ってお届け致します。
10/15(水) 一生持つインプラントに骨の再生プラン付き難症例❶
カテゴリ:Dr.鈴木日記 インプラント 歯科全般
他院にて、「歯を半分にして残せばインプラントなんかしなくても大丈夫ですよ!」と言われGOLDの被せ物(自費20万)を2年前に行ったが、強く噛めなくて相談に行くも「問題ないです!」の一点張り。セカンドオピニオンとして来院。
当院の誇るレントゲンCTで、残した歯根の周囲骨が病変で溶けている事が判明。
骨の消失が余りにも大きすぎる為、インプラント前に骨作りを行い、10ヶ月待った後にインプラントの手術を行うことに決定。
気の毒ではあるが、前に進むしかない!100%の成功を目指して実行に移して行きます。
人工の骨と自己血液から抽出したコラーゲンを統合させて、インプラント予定の喪失した骨部に注入しました。
人工の骨が本物の骨に置換するまで、10ヶ月ほど待ちます。
R7年10月、骨の再生治療をしてから10ヶ月後、インプラントの手術を行いました。
患者様の人生が私の腕にかかっています。その全責任を受け止めながら、本日より7日連続つづくインプラント手術を、歯を失って悩んでいる方へ後押しになることを願ってお届け致します。
8/8(金) 2年前に治した15万前歯がトラブルに(インプラント)
カテゴリ:Dr.鈴木日記 インプラント ブルーラジカル 歯科全般 静脈麻酔鎮静法 骨の最新再生医療
60代、奈良市在住 弁護士の奥様。主訴は「腫れがあったので2年前に自費メインの歯医者で治してもらった前歯が抜けた。根が割れ、骨も溶けているので、抜歯をする必要がある。インプラントは骨が弱いので難しいと言われた。入れ歯も健康な歯を削るブリッジも避けたい」でした。
CT画像で診査の結果、インプラント可能と判断。抜歯とインプラント移植と骨の造成を1日で同時に行う事で承諾。静脈麻酔鎮静(無料)で寝ながら手術に取り掛かりました。
歯根の先には大きな膿の袋を確認出来ました。
インプラント体にコラーゲンを絡ませ、表面処理を行って骨との結合を高めさせてから移植をさせます。
ベストポジションにインプラントを移植出来ました。
サラサラの人工骨をコラーゲンゲルと絡ませて、一塊にして操作性を良くしてから骨の不足部に補充して行きます。
インプラントの上にも骨の再生を試みます。
インプラントが骨と定着するまで5ヶ月間様子をみます。
文句なしのベストポジションです。
前回の手術から6ヶ月が経ちました。骨がインプラントの上にまで覆いかぶさっています。完璧な出来栄えです。
覆い被さった骨を剥がし取ります。とても贅沢な作業です。
型取りの状態。綺麗に仕上がっています。
無事に前歯のインプラントが完成致しました。
弁護士の先生の奥様であったので、いろんな意味で緊張しましたがとても素晴らしい結果となって良かったです。
入れ歯の人生、ブリッジの人生、様々ではありますが、歯が折れたり膿んだりするには理由(原因)が必ずあります。それを見つけ出さずに治療に取り掛かると必ず再発する可能性があります。診査と診断さえ間違わなければ、必ず良い結果に導けます。











