令和4年7月、PM7:00過ぎ。1本の電話が鳴る。主訴は「子供が塾へ行く途中、坂道を自転車で下っている最中に転倒したらしい。泣きながら帰ってきたが、口の中が血まみれでどうなっているか分からない。この時間帯はどこもやってなく、全く初めてですが、診てもらえませんか?」でした。
その日は予約の患者様があと5名来院予定になっていたので、待ち時間のクレーム(口コミでよく書き込まれる)の事を考えると受け入れるべきではなかったのかもしれませんが、子どもさんの将来を考えると居ても立ってもいられなくなり、急遽来ていただくことにしました。
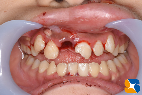
血まみれのお口を何度もうがいをしてもらい、拝見したところ、やはり前歯が完全に消失していました。
お子さんに「抜けた前歯は何処いったん?」と尋ねると「多分、コケた所にあると思う。」とのこと。
Dr:「お母さん、今からお子さんと一緒に現場に戻って前歯を探して下さい。今ならまだ歯を戻すことが出来るかもしれません。」
冷静で落ち着きのあるお子さんと共に、暗い坂道の現場から母の携帯のライトを頼りに奇跡的に前歯を見つけてこられました。
ご両親には「再植した歯は10年持てば良い方とされています。
幼い子どもさんに入れ歯は何かと不自由ですし、インプラントは骨の成長がまだ未完成ですので出来ません。
ですので抜けた前歯を元の場所に戻す『再植』術を行います。
あと、仮に歯の固定はうまくいったとしても、神経までは回復出来ませんので何処かのタイミングで抜けた前歯から神経を取らなければならない事をご了承願います。」
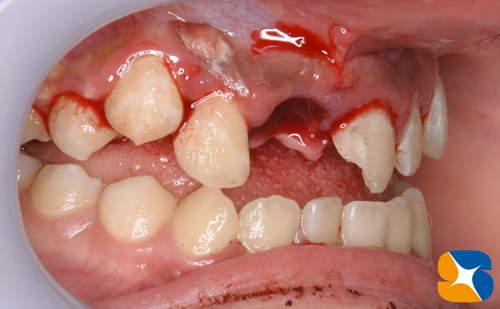
早速、矯正で使用する材料を用いて(保険の500円のみ、特殊な材料代は無料)前歯を元の場所に戻し、スーパーボンドで固定しました。
この状態で7ヶ月間、経過観察をすることに。
事故から7ヶ月後の今年4月(令和5)、固定装置を取り除きました。嬉しい事に前歯の固定が認められました。
続けてCT画像でチェックも行いました。
すると、再植した根の先に、大きな膿の袋(骨がとけて腫瘍が発生)が見つかりました。
お母さん:「やはり残すのは無理ですか?」との質問に「いや、歯は完全に固定しているので、膿を取り除き、当院での再生医療(PRP法)をおこなえば治るように思いますよ。」
お子さんには頑張ってもらい、膿の袋を取り出す手術を行うことにしました。
CT画像と同等の場所と大きさの腫瘍が見つかりました。
採血した血液を用いてCGF(RPR法)を行なって骨の欠落したところに埋めました。(保険ではPRP法の設定はないため無料)
更に人工の骨も充填(無料)して完了しました。
これは、今年の12月(再生治療から8ヶ月後)の状態です。膿も無くなり、骨の再生も行われ、とても良好であることが確認出来ました。
お子様をはじめ、ご両親の協力とご理解のもと、事故で歯を失いかけた状態から復元させることが出来ました。
お母様は涙ながらにとても喜んで下さいました。
あきらめていた歯が見つかり、事故した日の患者様が寛大で、事故の修復に特化した材料を豊富に持ち合わせていたこと。
また、こちらの治療方針を信じて下さった事。全ての偶然が見事にハマった結果だと思います
未来のあるお子様に少しでも地域医療の手助けが出来て、私達も喜ばしい限りです。
元気・やる気・Dr.鈴木のコラム
2023/12/18
12/18(月) 小5事故で前歯吹っ飛ぶ. 重なった偶然で甦るか?(事故した前歯)











