奈良より50代の男性弁護士。主訴は「昔に比べて歯並びが狂ってきた。前歯が飛び出してきたので、友人の歯医者へ行ったら『横向きの親知らずが前に押してきているからだ』と言われた。紹介された大学病院で右下を抜いたが、麻酔が効きにくく、抜いている時も相当痛くて辛い思いをした。抜いた後も発熱とひどい腫れのため、仕事に影響した。痛くなく、腫れない抜歯を望んでいます。自費でも結構ですので宜しくお願いします」でした。
横向きに生えている親知らずのほんの一部だけが見えています。
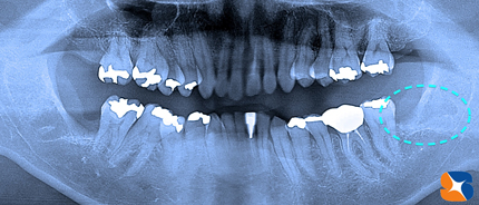
お口全体のレントゲン写真。向かって左が3ヶ月前に抜いた痕。向かって右が今回の依頼場所です。
点滴を使って横向きの親知らずの抜歯を行いました。まずは点滴から開始です。この点滴の中には、恐さや緊張感を無くす薬の他に、痛みと腫れを抑える薬も入っています。軽く眠りに入った頃を見計らって、通常の麻酔を親知らず周辺の歯茎に行います。
奥歯は内側に傾斜しているうえに、大きな舌も覆い被さりかなり難しい抜歯となりましたが、約35分程で無痛での抜歯が終了しました。次は腫れを完全に抑えるために、採血させていただいた血液を使って製作していたフィブリノーゲンの塊り(CGF)を作り、抜歯痕に入れて流出しないように縫い合わせておきました。目的は、痛みや腫れを抑えると共に早期に傷口を治すためです。
〈患者様の当日の会話〉
•前回の抜歯を思い出して、かなり緊張していたが本当に楽な抜歯でした。
•歯茎に麻酔をした事は、全く記憶にない。
•痛みも全くなかった。
•目が覚めて、こんなに時間が過ぎていたことにビックリしている。
※本日の抜歯と点滴の治療は保険適用ですので、合わせて¥7,000円程でした。
※細胞加工の再生医療「フィブリノーゲン」の挿入は無料です。
〈2週間後の抜糸時の会話〉
•痛み止め薬は、ほとんど飲まなかった。
•口が開けにくくなったり、ツバを飲み込んで痛くなるような事も一切なかった。腫れもなかった。
•本当に好くしてくださったスタッフの皆さんに、お礼のケーキを持ってきました。(うれしい〜!)
元気・やる気・Dr.鈴木のコラム
2017/5/31
横向きの親知らず 痛みと腫れをブロック











