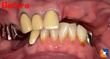
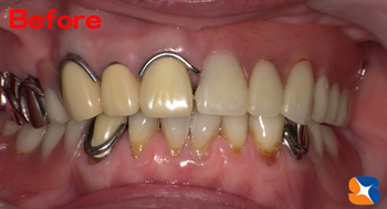
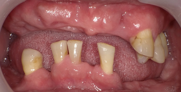
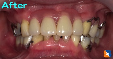
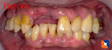
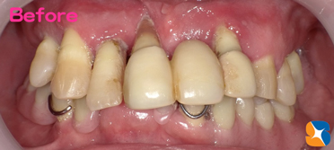
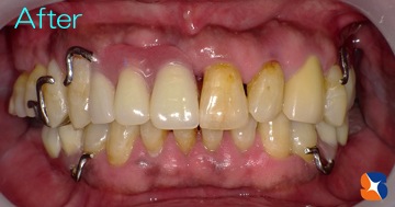
80歳のお婆ちゃん。主訴は「鈴木さん所いって、入れ歯※あんばいしてもらったら?」とご近所様の紹介で来院。
「噛み合わせが悪いので、これ以上の入れ歯を作るのは無理」と前医で言われ、現在に至る。
目が点に…このお婆ちゃん、膝の具合も良くないため何度も来院するのは難しいとのこと。残った歯の被せを全てやり換えて、最後に入れ歯を作る計画をたてました。 続きを読む
元気・やる気・Dr.鈴木のコラム
涙の入れ歯…20才若く見られました
カテゴリ:入れ歯 審美 歯科全般
鼻を突き上げる入れ歯?で我慢
カテゴリ:入れ歯 歯科全般
遠方より50代の女性。主訴は「入れ歯が鼻を突き上げる。もう少し小さくして欲しいと頼んだが、『保険の入れ歯は何処にいっても同じ!』と言われた。お友達の紹介で来た」
Dr:「悲しい話しですね。入れ歯は、凝れば凝る程、製作費用と時間を費やします。しかし、保険 続きを読む
インプラント前に完璧な自信作入れ歯
カテゴリ:入れ歯 歯科全般
遠方より60代の女性。主訴は「HPを見て来た。入れ歯が合わない。見た目も悪い。インプラントも考えている」でした。
入れ歯を外した写真。インプラントでも、ピッタリ合う入れ歯を作るにしても、まず残された歯をきちんと改善する必要がある事を伝える。 続きを読む
お値打ち保険のデザイン入れ歯(5)
カテゴリ:入れ歯 歯科全般
50代の男性。主訴は「遠方に引っ越した。歯を何本か抜いたので、新しい入れ歯を地元で作ったが前歯の仕上がりが気に入らない」でした。
〈正面〉
新しい入れ歯が完成しました。 続きを読む
その後〜デザイン入れ歯(3)の手紙編
カテゴリ:入れ歯 歯科全般
6/25に投稿した「お値打ち保険のデザイン入れ歯(3)」の患者様からその後、頂いたお手紙です。
続きを読む
お値打ち保険のデザイン入れ歯(4)
カテゴリ:入れ歯 歯科全般
奈良より接客業の30代の男性。主訴は「前歯がグラついて食事が出来ない。抜歯後、HPにあるような良い入れ歯を作って下さい」
Dr「分かりました。抜歯後、短期間(10日以内)で製作完了させます。お任せ下さい」 続きを読む
お値打ち保険のデザイン入れ歯(3)
カテゴリ:入れ歯 歯科全般
遠方より、50代の女性。主訴は「10軒以上の歯科医院を回ったが、入れ歯が合わない」でした。
この患者様は数年前、インプラントの手術をされましたが、予後不良のためインプラント金属を撤去。
そのため、元インプラント部分のアゴ骨は大きく陥没して、以前にも増して入れ歯に不利な条件が揃っていました。さらに手術後より顔面神経痛も発症。気分的にまいっておられました。
Dr:「全くカタつかず、フィットも抜群・安心してしっかり噛める・見た目も良い・保険、これらを満たした入れ歯を日頃から作っています。当院では、製作時間、材料費、技工費をかなり注ぎ込んで入れ歯の製作に取り組んでいますので、質の高い保険の入れ歯を楽しみにしていて下さいね」 続きを読む
お値打ち保険のデザイン入れ歯(2)
カテゴリ:入れ歯 歯科全般
60代の男性。主訴は「自治会の役員をしている。人前によく出るので見栄えの良い入れ歯が欲しい」
試作品を何度も作り重ねた結果、本日新しい入れ歯が完成。「先生!さら(新品)からピタッとおおて(あって)ますわ!」
遠方からも当院のデザイン入れ歯を求め、多数の患者様が来院されています。 続きを読む
お値打ち保険のデザイン入れ歯(1)
カテゴリ:入れ歯 歯科全般
生駒からご紹介で来院、60代の男性。主訴は「よく噛めて、目立たない入れ歯を作って欲しい」でした。
左写真は、鈴木歯科医院で製作した入れ歯を装着した状態です。「見た目が入れ歯と判らない!痛くないし、カタカタしない。保険でこんな入れ歯も作れるの!?」と喜んでいただけました。 続きを読む
奥歯を抜いたまま放っておくと大変
カテゴリ:入れ歯 歯科全般
50代の男性。
「7年前、ここで下の奥歯を抜いてもらった。抜いた後は、今日まで放置していた。最近、抜けた歯の真上の奥歯が冷たい物にしみる。その歯を指で触るとグラついている。歯周病ですか?」でした。
Dr:「はい。難しい言葉で言いますと、それは『歯の挺出』と呼ばれる症状です。つまり、上の奥歯が、歯の無い下の空きスペースに向かって垂れ下がってきたのです」
左は7年前の写真です。
元々、水色の部分に奥歯がありましたが、歯周病のため抜歯させていただきました。 続きを読む











