遠方より60代の女性。主訴は「HPを見て来た。入れ歯が合わない。見た目も悪い。インプラントも考えている」でした。
入れ歯を外した写真。インプラントでも、ピッタリ合う入れ歯を作るにしても、まず残された歯をきちんと改善する必要がある事を伝える。
今までの入れ歯。ギラギラ入れ歯の金具(引っ掛けバネ)が前歯で際立っていました。悲しいかな、これが保険医療の現状です。
患者様によっては、入れ歯を使用するだけでも落ち込む方がおられます。当院では「何処よりも目立たない入れ歯作り」に努めています。
治療開始。残された歯を理論に基づいてきちんと改善すれば、噛みやすい入れ歯&見た目が悪くない入れ歯を製作出来ます。
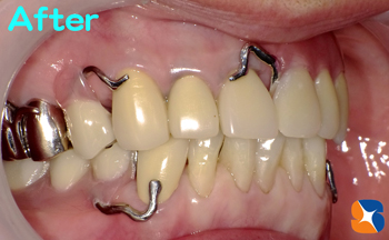
保険でもここまで美しい完璧な入れ歯をお渡しすることが可能です。
※残された前歯の変更は、すべて自費のセラミックを選択して頂きました。
来年から入れ歯に代わって、インプラント治療が始まります。ただし、インプラントの完成までに10ヶ月ほど要する予定になっています。
その間、この完璧な自信作の入れ歯を快適に使用していただければ幸いです。入れ歯でお悩みの方、是非とも当院の入れ歯を実感してみて下さい。お待ちしております。
元気・やる気・Dr.鈴木のコラム
2014/12/11
インプラント前に完璧な自信作入れ歯











