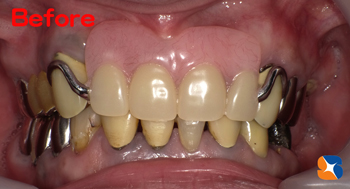
遠方より50代の女性。主訴は「入れ歯が鼻を突き上げる。もう少し小さくして欲しいと頼んだが、『保険の入れ歯は何処にいっても同じ!』と言われた。お友達の紹介で来た」
Dr:「悲しい話しですね。入れ歯は、凝れば凝る程、製作費用と時間を費やします。しかし、保険の入れ歯は何処で作っても患者さんの負担価格は同じです。私もくじけそうになる事が多々ありますが開業して14年、当院の入れ歯は超一流の技工士さんに一貫して作って頂いています(以前は奥森健史先生。現在は大西輝幸先生)。今まで辛い思いをなされた分、私が責任をもって使いやすい入れ歯を作りますのでご安心下さい。
確かに「鼻を突き上げる入れ歯」ですね。この入れ歯の制作者は、どのような気持ちで作ったのでしょうか…。
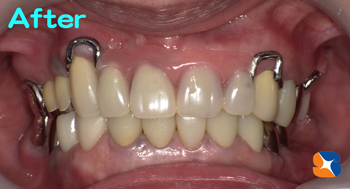
黄ばんだ前歯→すべで強度のあるセラミックに変更。入れ歯は、自費の入れ歯と見劣りしない保険の入れ歯をご提供。
上唇が入れ歯で突き上げられているため、閉じにくい口元。
この患者様に限らず、全ての患者様に鈴木式入れ歯をご提供しています。
今年も残すところ僅かとなりましたが、ご相談の電話お待ちしています。











