入れ歯で困っている方が大勢いらっしゃいます。
同じ保険代を払いながら、パッとしない入れ歯も実在します。
SNSで様々な情報交換が盛んに行われている昨今ですが、
「私のぴったりフィット入れ歯!」「薄くて噛みやすい入れ歯!」「目立たない入れ歯!」といったユーザーの「自慢の入れ歯 画像」は不足しています。
これでは他人の入れ歯と比較すらできないので、ただ我慢するか、放棄するしかありません。
「お食事。何でもしっかり噛めますか?」
「見た目。マスクを外して笑えますか?」
開業時から、入れ歯の強度を向上させるためにデザイン加工した補強金属を多様してきました。
自費の入れ歯で用いるバネ金具を採算度返しで惜しみなく保険の入れ歯に使用してきました。
20年経った今もそれは続けています。
「目立たない、取り外しが簡単、安定感抜群」そんなごく当たり前(当院では)の入れ歯を10回にわたって紹介していきます。
両親が入れ歯で困っている。
若くして入れ歯になったパパやママ。
入れ歯は嫌だけど家の諸事情でインプラントは厳しい方。
数々の症例をご覧ください。
保険の費用で、最高級の入れ歯が実在することを知って下さい。
元気・やる気・Dr.鈴木のコラム
9/11 ④同じ保険代で…限界にチャレンジこだわりデザイン部分入れ歯
カテゴリ:Dr.鈴木日記 入れ歯 歯科全般
9/6 ③同じ保険代で…限界にチャレンジこだわりデザイン部分入れ歯
カテゴリ:Dr.鈴木日記 入れ歯 歯科全般
入れ歯で困っている方が大勢いらっしゃいます。
同じ保険代を払いながら、パッとしない入れ歯も実在します。
SNSで様々な情報交換が盛んに行われている昨今ですが、
「私のぴったりフィット入れ歯!」「薄くて噛みやすい入れ歯!」「目立たない入れ歯!」といったユーザーの「自慢の入れ歯 画像」は不足しています。
これでは他人の入れ歯と比較すらできないので、ただ我慢するか、放棄するしかありません。
「お食事。何でもしっかり噛めますか?」
「見た目。マスクを外して笑えますか?」
開業時から、入れ歯の強度を向上させるためにデザイン加工した補強金属を多様してきました。
自費の入れ歯で用いるバネ金具を採算度返しで惜しみなく保険の入れ歯に使用してきました。
20年経った今もそれは続けています。
「目立たない、取り外しが簡単、安定感抜群」そんなごく当たり前(当院では)の入れ歯を10回にわたって紹介していきます。
両親が入れ歯で困っている。
若くして入れ歯になったパパやママ。
入れ歯は嫌だけど家の諸事情でインプラントは厳しい方。
数々の症例をご覧ください。
保険の費用で、最高級の入れ歯が実在することを知って下さい。

9/1 ②同じ保険代で…限界にチャレンジこだわりデザイン部分入れ歯
カテゴリ:Dr.鈴木日記 入れ歯
入れ歯で困っている方が大勢いらっしゃいます。
同じ保険代を払いながら、パッとしない入れ歯も実在します。
SNSで様々な情報交換が盛んに行われている昨今ですが、
「私のぴったりフィット入れ歯!」「薄くて噛みやすい入れ歯!」「目立たない入れ歯!」といったユーザーの「自慢の入れ歯 画像」は不足しています。
これでは他人の入れ歯と比較すらできないので、ただ我慢するか、放棄するしかありません。
「お食事。何でもしっかり噛めますか?」
「見た目。マスクを外して笑えますか?」
開業時から、入れ歯の強度を向上させるためにデザイン加工した補強金属を多様してきました。
自費の入れ歯で用いるバネ金具を採算度返しで惜しみなく保険の入れ歯に使用してきました。
20年経った今もそれは続けています。
「目立たない、取り外しが簡単、安定感抜群」そんなごく当たり前(当院では)の入れ歯を10回にわたって紹介していきます。
両親が入れ歯で困っている。
若くして入れ歯になったパパやママ。
入れ歯は嫌だけど家の諸事情でインプラントは厳しい方。
数々の症例をご覧ください。
保険の費用で、最高級の入れ歯が実在することを知って下さい。
8/25 ①同じ保険代で…限界にチャレンジこだわりデザイン部分入れ歯
カテゴリ:Dr.鈴木日記 入れ歯 歯科全般
入れ歯で困っている方が大勢いらっしゃいます。
同じ保険代を払いながら、パッとしない入れ歯も実在します。
SNSで様々な情報交換が盛んに行われている昨今ですが、
「私のぴったりフィット入れ歯!」「薄くて噛みやすい入れ歯!」「目立たない入れ歯!」といったユーザーの「自慢の入れ歯 画像」は不足しています。
これでは他人の入れ歯と比較すらできないので、我慢するしかありません。
「お食事、何でも噛めますか?」
「見た目、マスク外して笑えますか?」
開業時から、入れ歯の強度を向上させるためにデザイン加工した金属を多様してきました。
自費の入れ歯で用いるバネ金具を採算度返しで惜しみなく保険の入れ歯に使用してきました。
「目立たない、取り外しが簡単、安定度抜群」そんな普段通りの入れ歯を10回にわたって紹介していきます。
両親が入れ歯で困っている。
若くして入れ歯になったパパやママ。
入れ歯は嫌だけど家の諸事情でインプラントは厳しい方。
現在ご使用中の入れ歯と比較してみて下さい。
保険の費用で最高級の入れ歯が実在することを知って頂ければ幸いです。


今年2019 一番の笑顔をありがとうございました!!
カテゴリ:Dr.鈴木日記 入れ歯 審美 歯科全般
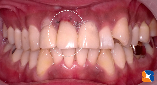
今年11月の初め。70代の患者様。20年来のかかりつけ歯科医院への治療後の帰り道。主訴は「もう吹っ切れた。痛みや腫れを訴えても、歯の掃除と薬だけ。なんかおかしい。たまたま通りかかっただけやけど診て欲しい」でした。
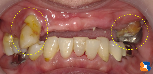
歯の根の周りの骨が大きく溶けて無くなってしまっている所が3箇所。
見た目も正直メチャクチャです。気の毒としかいいようがない。
よく今まで辛抱してきましたね。とにかく私が最短で、全ての悩みを解消いたします。
ビックリするような口元にしますので、任せておいて下さい。
2020
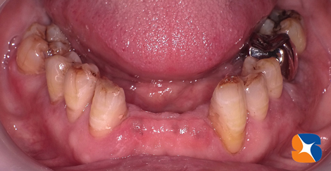
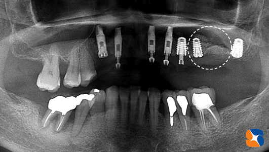
残せる歯と、抜かなければならない歯の区分けが完了しました。
残した歯の治療は全て完了。最後に入れ歯を製作・装着すれば完成です。
12月28日、本日、入れ歯を装着して完了しました。
鏡を見た患者様は顔をくちゃくちゃにして「ここまで綺麗にしてもらえるとは思ってもいなかった。僅か2ヶ月でこんなにいい感じにしてもらえて感謝しています。嬉しくて、嬉しくて、しゃーない。右下の奥歯もずっと無いままで気にしていたので、ここは先生のお薦めのインプラントをしてもらうわ。来年もよろしくお願いします」でした。
Dr:今年も多くの方に当院の誇る「Newスタイル治療」を受診して頂きました。
2020年も多くの皆様に感動を与えられるように努めていきます。
鈴木 雅智
外れないインプラント付き全部入れ歯の定期検診
カテゴリ:Dr.鈴木日記 インプラント 入れ歯
昨年の暮れにインプラントを移植された方の初めての定期検診。
72歳の男性。永年、上も下も全部入れ歯を使っておられました。上の全部入れ歯は、ポリグリップで外れないようにがっちりキープ出来ています。しかし、下の全部入れ歯は、大きな口を開けると動いて外れそうになるので何か良いものはないかな?がこの治療の始まりでした。
下のアゴに2本の(ロケーター)インプラントを移植しました。
左利きの患者様が、全部入れ歯を取り外ししやすいように設計しています。
インプラントの周囲には、自己血液を用いた無添加のCGFを付着させています。
傷口の早期回復や腫れを抑えることに有効的です。
たった2本のインプラントですが、全部入れ歯は全く動きません。
全部入れ歯を外してみたところ。
全部入れ歯の裏側はこのようになっています。お口の中には凸部が入り、全部入れ歯の内側には凹部が組み込まれ、両者はパチッと合体します。
〈患者様の感想〉
・とにかく俺は歯医者が嫌い。今まで歯を何本抜かれてきたか。その度、怖くて怖くて仕方がなかった。でも今回は生まれて初めて歯が増えた。
しかも、先生が点滴しながら手術をしてくれたので、知らん間に終わった。出来上がった入れ歯も快適や。メシも美味い。なかなかこれいい!
12/23.今年最後のインプラント予定が…
カテゴリ:インプラント 入れ歯 歯科全般
寝屋川市から40代の女性。主訴は「入れ歯で苦労している。医療従事者でしゃべる仕事をしている。上顎の骨が薄くて浅いのでインプラントは難しいと言われ続けてきた。先生の御意見をお聞かせ下さい。」
CTを使って骨の状態(骨の厚みと高さ)をチェックすると、厚みも高さもかなり不足していましたので、インプラント治療をするのなら人工的に骨を増強する必要がありました。また、黄色の点線の歯は、乳歯のようにグラグラしているので、抜歯をして当日その痕にインプラントを移植することもお伝えしました。
この画像は、ほお骨の横から人工骨を入れた所に、インプラントを植立したところです。
約4時間に及ぶ施術が終わりました。
〈内容〉
•抜歯2本→抜歯痕にインプラントを2本移植
•2㍉幅のほお骨の横から穴を開けて人工骨を増強する手術(サイナンスリフト)
•7連結の仮歯をセットして帰っていただく。
※静脈鎮静法を使って、リラックスした状態で施術を受けてもらっています。
※採血をして再生療法医療(CGF、AFG)を行い、人工骨の安定を図りました。
これで2017年のインプラント施術は終わる予定でしたが…。
クリスマス日の朝、30代の自営の男性。主訴は「事故で前歯を損傷した。」とのこと。マイクロスコープ等で患部を精査すると差し歯の根が割れていることが判明しました。
抜歯の必要性を伝えたところ、「元々歯並びも悪かったので、前歯3本ともキレイにしたい。抜いた所はインプラントにする。」とのことでした。
お昼休みを使って、緊急手術を始める事になりました。
静脈麻酔鎮静法を使い、浅く眠った状態のまま治療を進めました。
抜歯した痕に自己採血を使って作った再生加工物(CGF)を添加しました。
歯茎を切らず、抜歯した痕に人工的なホールを設け、長さ18㍉のインプラントを移植しました。
また、抜歯した両サイドの2本の歯(1本は神経あり)を削って、オールセラミックの歯を入れる準備も行いました。
これは、抜歯した日にそのままインプラントを移植したところのレントゲン写真です。
無事、仮歯を3本装着して帰って頂きました。
〈感想〉
•とにかく歯医者が嫌いでなかなか行く勇気がなかったけれど、結果的に前歯3本がキレイになりそうで良かったです。
•痛みで前夜は全然眠れなかったけれど、点滴療法のお陰で最後までぐっすり眠ったまま治療が終わったので助かりました。
•(12/29の感想)痛みも腫れもほとんどなく過ごせています。
※2017年も沢山の学会、講習会、セミナーに参加し、それを仕事に上手く添加させて頂くことができました。
また毎晩夜遅くまで仕事に係ってくれたスタッフに感謝して、今年を締めくくりたいと思います。ありがとう。
鈴木雅智
ご高齢者の生涯入れ歯なし宣言
カテゴリ:Dr.鈴木日記 インプラント 入れ歯 歯科全般
82歳の女性。主訴は「前歯がグラついて抜けそう。歯茎に突起物も頻繁に出来る。いよいよ抜歯かな?でも入れ歯だけは絶対イヤ!」でした。
CTを使用して歯根の周囲骨の欠落状態をチェックしたところ、グラつく前歯2本に、大きく骨の欠落を確認しました。歯根のひび割れ(1本または2本とも)が予測されたので、やはり抜歯の可能性がある事を伝えました。入れ歯を好まない患者様でしたので、1本または2本のインプラント治療をされることに決まりました。
※75歳以上の高齢者は、10万円減額(35→25万円)して、出来るだけ自分の歯で噛んで頂けるようにサポートしています。
手術前にまず、麻酔鎮静法(無料)を行い、うとうと眠った状態にします。点滴のお薬が効いてくると、通常の麻酔と同時に採血も行います。当院は即時に細胞(フィブリノーゲン)を培養する施設の認可を取っていますので、その場で出来上がったCGFとAFG(無料)を骨の欠落している箇所に補填します。
もう1本のグラつきは、差し歯の外れかけが原因では?と予測していましたが、歯の根面に亀裂が入っている事を手術で確認しました。
左の写真は、抜歯したその日にインプラントを埋めたところです。同様に隣りのひび割れした歯も「抜歯→インプラント埋め」をその日のうちに行います。
※患者様には、事前に説明済み。
2本のインプラントが無事に埋められた後、動物由来ではない人工の骨と自己採血で製作された無添加自己フィブリンを混ぜ合わせ、グミ状に仕上げた混合物を、骨が不足している部分にたっぷり養生しました(写真=左)。
手術から僅か11日後の状態です。傷口も綺麗にふさがり、弾力に富んだ歯肉をしています。経過、良好です。
これは、手術した日から使用されている、私の手作り入れ歯です。約5ヶ月間、辛抱して使って下さいね。
※生涯入れ歯なしで暮らせるように、精一杯バックアップします。私にお任せ下さい。
妻からのひと言「入れ歯、なんか変?」
カテゴリ:入れ歯 未分類 歯科全般
60代の男性、HPにて生駒から来院。主訴は「妻から“なんかその入れ歯、変じゃない?”と言われた。自然な感じの入れ歯に作り変えたい」でした。
Dr:「奥様のおっしゃる通り、前歯の人工の歯が短いですね。奥様に『いい感じになったね!』と褒めてもらえような自然な感じの入れ歯を作製していきましょう」 続きを読む
グラグラ放置の私が綺麗に大変身
カテゴリ:入れ歯 歯科全般
70代の紹介女性。主訴は「前歯がグラグラ。上の奥歯がない。噛む所がない。顔もくしゃってる」でした。
当院の入れ歯は、軽く、薄く、小さく、デザインにもこだわった渾身の入れ歯を保険料金で提供しています。最終、この様な入れ歯を装着することを目標に治療を始めた。 続きを読む











