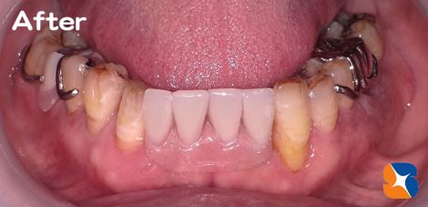
60代の男性、HPにて生駒から来院。主訴は「妻から“なんかその入れ歯、変じゃない?”と言われた。自然な感じの入れ歯に作り変えたい」でした。
Dr:「奥様のおっしゃる通り、前歯の人工の歯が短いですね。奥様に『いい感じになったね!』と褒めてもらえような自然な感じの入れ歯を作製していきましょう」
正確な型取り(※)後、試作の入れ歯を2度作り、最後完成させました。
※当院では、全ての患者様の型取りにシリコン製の高品質素材を使用しています。超精密な型取りをおこなうことで、フィット感は抜群に向上します。
新しい入れ歯に患者さんは大満足。鏡を見ながら第一声は「すごいね!同じ入れ歯でもこんなに差があるとは思わなかった(何処で作っても同じデザインと思い込んでいたそうです)。きっと嫁も『良くなったね』と言うと思うわ〜。先生、ありがとう」とのこと。よかったですね。ただし、具合の悪い所が出たら、直ぐに調整しますのでお気軽に来て下さい。
元気・やる気・Dr.鈴木のコラム
2016/5/15
妻からのひと言「入れ歯、なんか変?」











