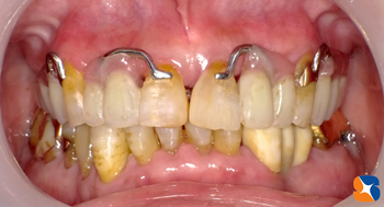
70代の紹介女性。主訴は「前歯がグラグラ。上の奥歯がない。噛む所がない。顔もくしゃってる」でした。
当院の入れ歯は、軽く、薄く、小さく、デザインにもこだわった渾身の入れ歯を保険料金で提供しています。最終、この様な入れ歯を装着することを目標に治療を始めた。
グラグラの前歯は抜歯。
開いた前歯は矯正で閉じる。
歯の無い場所は、入れ歯の出番。
治療開始から4ヶ月。ここまで口元が改善することが出来ました。噛み合わせが回復したことで、隠れていた下の前歯も見えるようになりました。
「こんな気持ちのいい入れ歯があるなら早く来ればよかった」と直ぐに馴染んでいただけました。お顔もふっくら、ニコニコ笑顔ですっかり雰囲気まで変身した患者様、矯正治療も含め、よく頑張ってくださいました。お疲れ様でした。
元気・やる気・Dr.鈴木のコラム
2015/9/13
グラグラ放置の私が綺麗に大変身











