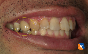
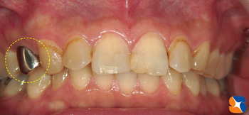
遠方より、30代の男性。主訴は、「最近、銀歯を入れたがしみる。そこでは(他院)保険で白く出来ない(白色は高額自費のみ)と言われた」でした。
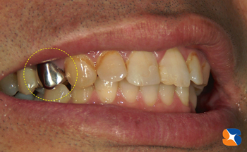
保険で白に出来る医院は、まだまだ限られているので仕方ありません。早速、冷たいものに痛む銀歯を外して中の状態を確認してみましょう。
保険の白い歯は、「ハイブリッドレジン」という材料のブロックを精密器機が削り出して製作されます。冷たい水などに痛みがある歯や、神経が残っている歯に被せる場合、とても優れた素材です。
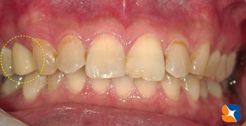
当院では、先進医療器機『セレック』を導入していますので、その日に「銀歯→白い歯」に変更・装着することが可能です。
•保険で白色にしたい!
•神経に優しい素材で被せて欲しい!
•取れたり、外れたりせず、いつまでも長持ちさせたい!
このような期待に応えるだけの、技術と材料を多数用意してお待ちしています。
元気・やる気・Dr.鈴木のコラム
2015/10/1
男性陣も保険CADを使って歯を白く











