爽やかな5月。御紹介で奈良から来院。主訴は「かかりつけ医が転移した。15年程前に新調したセラミックのブリッジが、グラグラして外れそう。入れ歯は避けたい。出来れば同じ固定ブリッジがしたい。もし残すことが出来たら、セラミックを希望します」
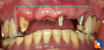
古い6連結のブリッジを外すと、ほとんどの根が歯茎の中でモロモロ腐敗状態。歯茎の手術を行い、なんとか3本を死守(=写真左)。これで6連結のブリッジを装着するための体制が整った。
夏期は体調を考慮して、一時中断。9月より治療再開。完成したブリッジに手直し修正を加えること3回、本日ようやく完成しました。
奈良の名高い寺院で監寺(かんす)をなされていた患者様、今なお檀家の皆様に悟りを説法されているそうです。遠方より御苦労様でした。
元気・やる気・Dr.鈴木のコラム
2015/10/15
まだまだ元気!91才のブリッジ相談











