尼崎市より30代の女性。主訴は「下顎の親知らずの抜歯を近くのかかりつけ医院では『難しくて当院では無理(下の左右どちらも)』と言われた」でした。
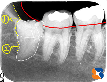
早速、レントゲン撮影をして確認。歯の頭はアゴ骨(=写真①=)が、歯の根は弯曲している(=写真②=)ため、親知らずが正位置まで放出できなかったと推測。
抜歯開始から30分後、無事に抜歯できました。予想通り、歯の頭の引っ掛りと、根の変形が、時間を費やした原因でした。
この角度から見ると、歯の根は変形していません。
しかし、角度を変える見ると、歯の根の先端がかなり変形しています。この様に変形した親知らずを抜歯するには、特殊な器具やテクニックが必要となります。
左写真は、お口全体のレントゲン。
抜歯後の穴には、痛みを抑え、傷口を早く回復させるテルプラグ(=無料)を挿入して、糸縫いを行いました。今度は、左(向かって右)の親知らず(横向きで骨の中に完全に埋まっている)を抜歯するとのこと。次回も共にがんばりましょう!
元気・やる気・Dr.鈴木のコラム
2015/11/3
なかなな出てこない親知らず











