20代の女性。主訴は「前歯が4本グラグラしている。ボンドで固め、動きを止めているだけなので、恐くて食事が不安」
上の歯、下の歯、共に「出っ歯」と「隙っ歯」でした。
入れ歯が頭をよぎり、かなり前歯で悩まれていました。
△…何とか残してみせる
× …当院でも残せない
出っ歯と隙っ歯を改善させるためには、歯を削らなくてはなりません。
後から痛みが出てこないように、神経を除く作業から開始していきました。
上の歯…4本抜歯の予定だったそうですが⇔当院では抜歯は2本に留めました。残りの歯は、歯周ポケットを軽減させる手術を行いました。
下の歯…出っ歯と隙っ歯を改善させるため、4本前歯を削りました。
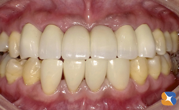
治療開始から5ヶ月、無事に上下の前歯をキレイに治すことが出来ました。
食事も恐くなくなったとのこと。上手くいって本当によかったと思います。元々歯の清掃状態はかなり良かったですので、治療後の清掃も安心して見守ることが出来ました。お疲れ様でした。
※前歯はすべて保険治療でおこないました。
元気・やる気・Dr.鈴木のコラム
2015/11/18
グラグラの前歯 恐くて噛めない











