85才のお婆ちゃん、娘さんと一緒に来院。
主訴は「40年前から馴染んでいた前歯の金を取ってもらいたい。足も良くないので、治療回数を最小限でお願いします」でした。
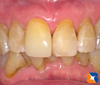
Dr:「金の被せの歯は、中で黒く虫歯にもなっていますね。痛みは『ない』ようですので、神経を残したまま、白い被せ物を入れてみたいと思います」
(1)歯を削り
(2)コンピューターと機械(CAD/CAM)で設計・切削し、
(3)接着ボンドでくっ付けて完成。
この一連の作業を3時間内で仕上げました。
「お婆ちゃん、お疲れ様でした。長い時間かかりましたが白い前歯は如何ですか?」の問いに「こんなにキレイになるんじゃったら、はよーしといたらよかった」
と大変喜んで頂きました。
※前歯の素材は、セラミック配合ハイブリッドレジン(金属を使っていない自費素材)です。
※保険の素材での治療の場合、最低2回は通院の必要があります。
※すべての作業をコンピューターで作りますので、従来の型取りは一切おこないません。
元気・やる気・Dr.鈴木のコラム
2015/11/28
前歯にゴールド金を被せていた時代











