元気・やる気・Dr.鈴木のコラム

 2015/8/25 

20代の女性の銀歯の悩み
カテゴリ:審美 歯科全般 

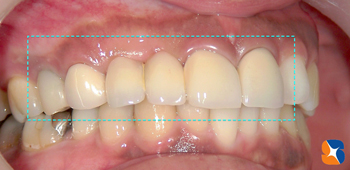
昔は銀歯、今は白い歯が保険で可能 主訴は、「銀歯が気になる。最近、保険でも白い歯を入れることが出来ると聞いた」でした。

保険で銀歯は昔。今は保険で白い歯を入れることが可能 まず、(上写真)を保険で白く変えました。次に(上写真)の黄色に変色した「5連結のブリッジ」を除去→土台の形を手直し→型取りの準備開始


昔は銀歯、今は白い歯が保険で可能 無事に6本の治療が、短期間で完成しました。当院では、出来上がった技工物を患者様にチェック(前歯の大きさ、色、形、厚み)し、納得して頂けるまで何度でも修正(ご足労をおかけしますが…)致します。