元気・やる気・Dr.鈴木のコラム

 2014/7/23 

お値打ち保険のデザイン入れ歯(5)
カテゴリ:入れ歯 歯科全般 

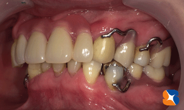
難しい噛み合わせ 50代の男性。主訴は「遠方に引っ越した。歯を何本か抜いたので、新しい入れ歯を地元で作ったが前歯の仕上がりが気に入らない」でした。

渾身の力で作った力作の入れ歯〈正面〉
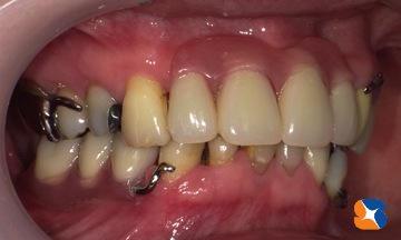
新しい入れ歯が完成しました。

右サイドから作った入れ歯〈右サイド〉

左サイドから見た入れ歯〈左サイド〉

キレイな歯並びに風変わりすっきりしました。入れ歯を装着していることがわかりにくい設計をしています。
上に装着する入れ歯