80歳のお婆ちゃん。主訴は「鈴木さん所いって、入れ歯※あんばいしてもらったら?」とご近所様の紹介で来院。
「噛み合わせが悪いので、これ以上の入れ歯を作るのは無理」と前医で言われ、現在に至る。
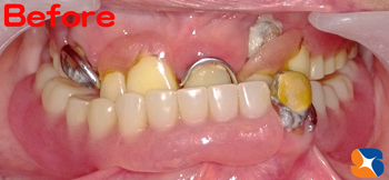
目が点に…このお婆ちゃん、膝の具合も良くないため何度も来院するのは難しいとのこと。残った歯の被せを全てやり換えて、最後に入れ歯を作る計画をたてました。
治療開始から6回目。なんとかイメージに近いお口に変えることが出来ました。
6ヶ月前に他院で作られた入れ歯。もし自分の入れ歯に不安を感じる患者様がおられましたら、遠慮なく当院まで御連絡を!
グラつく1本の歯は抜歯しました。残る前歯3本を新しく被せ変えた後、New入れ歯を製作しました。
患者様に感想をお尋ねすると
•「見た目が良くなって、20歳若くなったよ」とご紹介様に言われた
• 噛むごとに外れていた入れ歯が、何を噛んでも落ちなくなった
• しゃべりやすくなった
と涙目で喜んでおられました。
少しでも入れ歯の具合が悪くなれば、いつでもお越し下さいね。
医院の目指す方向ひとつでこのような「治療差」が生まれます。
歯科界の「松岡修造」を目指し熱くガンバっていますので、入れ歯でお困りの方は気軽にお問い合わせ下さい。
元気・やる気・Dr.鈴木のコラム
2015/6/25
涙の入れ歯…20才若く見られました











