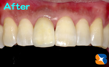
同業者の男性。主訴は「先進医療器機@セレックを使って前歯を綺麗(オールセラミック)にして欲しい」とのこと。
PC上で理想的な歯の形を私が設計。次にセラミックblock(イボクラー:e-max)を削り出して、セラミックの歯がひとまず完成。最後に細かな色合わせの調整をその場で行い、ツヤ焼きを行ってから装着しました。
当院では、この一連の治療をわずか一日で行うことが可能です。
遠方からお越しの患者様にも「来院回数が少なくて済む」と喜んで頂いています。費用は、約70,000円と良心的な価格でおこなっています。
※申し訳ございませんが、予約が取りにくくなっています。まずは電話にてお尋ねくださいね。
元気・やる気・Dr.鈴木のコラム
2015/6/16
目の肥えた同業種の審美治療











