20代の女性。
主訴は「自転車で転倒。前歯がグラグラして今にも抜けそう。風が当っても痛い。見た目も悪いので仮歯が欲しい」。
事故発生から3日後、遠方より来院。
搬送先の病院では、「前歯3本の抜歯」を告げられ、最終的には「6連結のブリッジか、インプラント治療になる」と説明されたそうです。
Dr「あまり期待しすぎないで下さいね」と前置きしたうえで、可能な限り「歯を抜かず、残して修復する」を目標に治療を始めました。
グラグラの3本の歯から神経を抜いた後、3連結の仮歯をその日のうちに製作しました。
最低限レベルの仮歯でしたが、患者様の目から涙がポロリ。よっぽど辛かったのかな…。
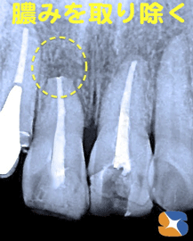
治療開始から3ヶ月。まだ1本、グラグラと膿みの排出が続く。急遽、根の先の膿んだ部分を手術を行って取り除く。手術後の経過は良好、グラつきも止まる。よし!〜あとひと踏ん張り。
型取り直前の状態。患者様はオールセラミックを選択されました。
治療開始から半年。歯を1本も抜くことなく、全てセレックを使用して製作したセラミックが出来上がりました。微妙なセラミックの色の変更もDr.がその場で修正して、無事に患者様の納めることができました。
治療が終了してから半年後の本日(半年検診)、特に問題なく快適とのこと。本当に良かったですね。
元気・やる気・Dr.鈴木のコラム
2015/5/31
事故で前歯が脱臼グラグラ











