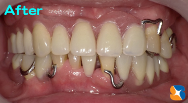
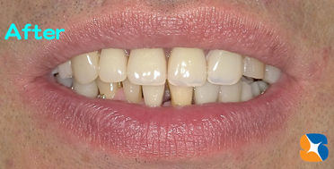
奈良より接客業の30代の男性。主訴は「前歯がグラついて食事が出来ない。抜歯後、HPにあるような良い入れ歯を作って下さい」
Dr「分かりました。抜歯後、短期間(10日以内)で製作完了させます。お任せ下さい」


〈術前〉
〈術後〉
「噛める、薄くて喋りやすい、全くカタつかない、痛まない」保険の入れ歯を全ての患者様に提供しています。当院では、たとえ保険の入れ歯であっても保険外の入れ歯と同じ作業(個々に合わせた個別の型枠で型取りをする、形状記憶のシリコン素材を型取りに使用、入れ歯の試作時にもシリコン素材で隙間のチェックなど)を行っています。その結果、精度の高い保険の入れ歯が出来上がり、患者様からも良い評価をいただいています。目に見えない所に時間とお金を費やす事は、「物作りの原点」と考えています。(当院の入れ歯は、奈良デンタルプログレッシブ/代表・奥森健史氏で勤務されていた元専務・大西輝行さんに製作して頂いています)
元気・やる気・Dr.鈴木のコラム
2014/7/7
お値打ち保険のデザイン入れ歯(4)











