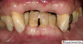
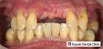
30代の男性。主訴は「夜勤で忙しくてあまり治療に行かなかった。痛いところはないが、全部キレイにしたい」でした。
Dr:「残すのが厳しい?(抜歯に近い)歯も1本ずつ丁寧に治療を行って再生させます。それには、通院回数が必要ですが諦めずに通って下さいね」 続きを読む
元気・やる気・Dr.鈴木のコラム
チームで好青年をサポート2013「輪」
カテゴリ:入れ歯 審美 歯科全般
母に合う入れ歯をお願いします
カテゴリ:入れ歯 歯科全般
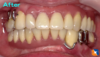
70代の女性。大阪市内より息子さんと来院。息子様からの要望は「今日まで母に合う入れ歯がなくて困っている。入れ歯を使わなくても食事はしている(歯茎で噛む?)が見ての通り、見た目が良くない。人と会う機会も多いので、体裁だけでも使える入れ歯を作って欲しい」でした。
まず、歯茎の中に埋もれていた歯を治療して、数本を甦らせました。左の写真は、甦った歯に部分入れ歯の金具を引っ掛けた状態です。(全て保険) 続きを読む
保険の入れ歯にも優・良・可
カテゴリ:入れ歯 歯科全般
大阪市内から40代の男性。主訴は「最近、歯を抜いたあとに入れ歯を作ったが見た目が悪いので入れたくない。保険で目立たない入れ歯を作って欲しい」でした。
早速、型取りから開始。4回目の来院で完成=写真左。見た目もスッキリしました。旧入れ歯は、カタカタしていたそうですがそれも改善しました。 続きを読む
怖いけど勇気を出した8ヶ月間
カテゴリ:入れ歯 審美 歯科全般
50代の女性。主訴は「赤丸●の歯が、グラグラしていて噛みにくい。歯医者さんが怖くてなかなか来れなかった。勇気を出して来た」
レントゲン診断の結果も考慮して、揺れの大きい歯=写真赤丸●=のみを抜歯しました。 続きを読む
歯医者が怖くて10年以上放置
カテゴリ:入れ歯 審美 歯科全般
50代の女性。主訴は「怖くてなかなか治療に行けなかった。東京へ行くことになったので、この際キレイにしたい」でした。
Dr:「任せて下さい。保険の範囲で必ずキレイに致します。ガンバって通って下さいね」
治療開始から3ヶ月弱。残せそうな歯は、1本1本大切に残し、歯の無い部分は、入れ歯で補って完成しました。 続きを読む
2013進化する医療技術
カテゴリ:インプラント 入れ歯 歯科全般
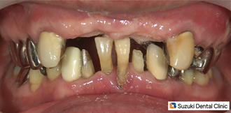
50代男性。主訴は「入れ歯が嫌。私にでもインプラントできますか?」でした。Dr「少し見た目の気になる入れ歯=写真左=が入ってますね」
入れ歯を外すと、下の前歯は長くて、歯ぐきに突き刺さりそうでした。また、歯のない上あごの骨は、厚みがありませんでした。 続きを読む
お疲れ様!変われば変わるもんです。
カテゴリ:入れ歯 歯科全般
60代の男性。主訴は「長いこと前歯なしで御飯を食べてきた。今度は治療をちゃんとしようと思う」でした。
早速、治療を開始しました。抜歯、さし歯のやり換え、入れ歯の製作など約7ヶ月を要して上下の保険治療が完了しました。 続きを読む
オシャレな入れ歯に変身お婆ちゃん
カテゴリ:入れ歯 歯科全般
主訴は「上の入れ歯がすぐに外れるので、新しい新しい入れ歯を作って欲しい」でした。2年前に作った保険の入れ歯=写真=は、留め金をきつく締めても、把持力が全くなく、直ぐに外れてしまいます。
〈古い入れ歯=写真〉
Dr:「同じ保険(金額)の入れ歯でも、医院によって入れ歯の品質は大きく異なります。 続きを読む
入れ歯、至急でお願いします!
カテゴリ:入れ歯 歯科全般
70代の男性。主訴は「前歯の連結が全部折れた。何も食べれなくて困っている。早くなんとかして欲しい」
でした。
Dr:レントゲンで調べた結果、残せそうな歯は1本だけでした。その1本に被せをしてから、入れ歯の作製に取りかかりました。治療回数は合計5回、治療期間は2週間で修復しました
(写真下)。
短期間で作った保険の入れ歯ですが
•痛い
•物がつまる
•気持ち悪い
•見た目が悪い
といったようなことはありません。自信をもってお渡しできる、使いやすい入れ歯です。 続きを読む
「品質の高い入れ歯」を保険で!
カテゴリ:インプラント 入れ歯 歯科全般
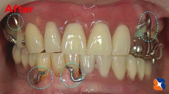
初診。50代の男性。主訴は「入れ歯が合ってないと言ったら『インプラント』をすすめられた。まずは、入れ歯でメシがうまく食べれるように頼みます」でした。
Dr:「分かりました。早速、当院でごく普通に作っている入れ歯の製作に取り掛かっていきましょう!『ごく普通』と申しましても、かなり「こだわりのある保険の入れ歯」ですので期待していて下さいね。
4回目の来院で保険の入れ歯が完成=写真左。このように当院では、「目立たない入れ歯、分からない入れ歯」を制作しています。 続きを読む











