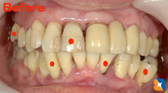
50代の女性。主訴は「赤丸●の歯が、グラグラしていて噛みにくい。歯医者さんが怖くてなかなか来れなかった。勇気を出して来た」
レントゲン診断の結果も考慮して、揺れの大きい歯=写真赤丸●=のみを抜歯しました。
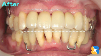
下には、入れ歯を装着しました。入れ歯の金具が、下唇に隠れるように設計しています。見た目は自費の入れ歯ですが、保険の費用です。
上の歯の無い所には、ブリッジ(セラミックの5連結)を装着しました。
以前は、出っ歯の前歯を装着されてしまって、「仕方ないにかな?」と我慢されていた患者様。
治療後は、見た目も大変満足していただき、噛み合わせも問題なく、とても快適に過ごされています。現在、月1回のメンテナンスに来て下さっています。
元気・やる気・Dr.鈴木のコラム
2013/8/21
怖いけど勇気を出した8ヶ月間











