元気・やる気・Dr.鈴木のコラム

 2013/9/8 

私、もう70なんですけど…
カテゴリ:審美 歯科全般 

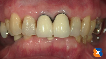
歯茎の際が黒い 70代の女性。主訴は「歯茎の際が黒いのは虫歯?まだ大丈夫?痛みはないよ」でした。 Dr:「被せの下が、虫歯になっていますね」

前歯の変色/際の黒み 「先生、私もう70なんですけど、やり換えるならいい方に(セラミック)してもらえる?黄ばんだりしないキレイな歯がいいわ!」

調和のとれた自然な前歯に変える 開始から1ヶ月後(4回)、セラミックの被せを2つ装着しました。 「ま〜キレイ!ありがとうございました!」と嬉しいお言葉をいただきました。