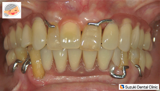
主訴は「上の入れ歯がすぐに外れるので、新しい新しい入れ歯を作って欲しい」でした。2年前に作った保険の入れ歯=写真=は、留め金をきつく締めても、把持力が全くなく、直ぐに外れてしまいます。
〈古い入れ歯=写真〉
Dr:「同じ保険(金額)の入れ歯でも、医院によって入れ歯の品質は大きく異なります。すぐに外れる、見た目が悪い、カタカタする、気持ち悪くて使っていない…。当院の入れ歯なら、このような結果にならないですよ!
〈新い入れ歯=写真〉
Dr:「まず留め金を小さくしました。また把持力も向上させましたので、噛んでいても外れないはずです。安心して何でも噛んでみて下さい」
86歳のお婆ちゃん、「快適に使用して頂いている」「入れ歯の留め金もすっきりした」と喜んで下さっていました。
元気・やる気・Dr.鈴木のコラム
2012/11/23
オシャレな入れ歯に変身お婆ちゃん











