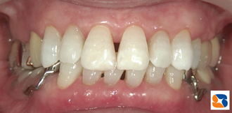
〈ホワイトイング前〉
70代の女性。主訴は「前歯を白くしてみたい」でした。
Dr:「大丈夫です。ただし、入れ歯は白く染まりません。また、前歯の虫歯治療あとに白い樹脂が詰めてあります。この部分も白く染まりませんのでご了解下さい。染まらない樹脂の部分は、ホワイトニングが終了する4週間後に張り替えたり、詰め直せば、詰めた跡が分からないきれいな白い前歯になりますよ」
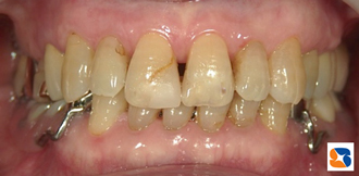
〈ホワイトニング後〉
上の歯は9本、下の歯は6本、ホワイトニングしました。
期間は上下トータル8週間、
費用は総額60,000円でした。
※60,000円には、ホーム・ブリーチングとオフィッス・ブリーチング
の両方が含まれています。











