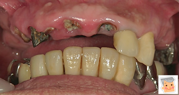
70代の男性。主訴は「前歯の連結が全部折れた。何も食べれなくて困っている。早くなんとかして欲しい」
でした。
Dr:レントゲンで調べた結果、残せそうな歯は1本だけでした。その1本に被せをしてから、入れ歯の作製に取りかかりました。治療回数は合計5回、治療期間は2週間で修復しました
(写真下)。
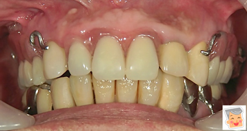
短期間で作った保険の入れ歯ですが
•痛い
•物がつまる
•気持ち悪い
•見た目が悪い
といったようなことはありません。自信をもってお渡しできる、使いやすい入れ歯です。
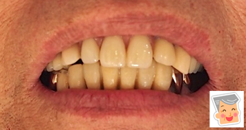
写真左は、新しい入れ歯をお渡ししてから、1週間後の様子です。「調子はどうですか?」とお尋ねすると、「痛むところは無く、快適に使用している」とのこと。お役にたてて、よかったです。
元気・やる気・Dr.鈴木のコラム
2012/10/1
入れ歯、至急でお願いします!











