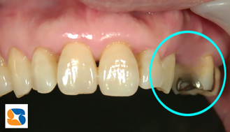
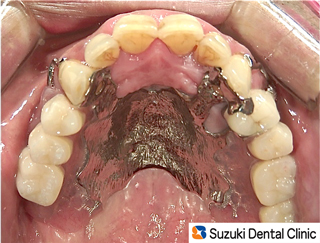
10代の女性。主訴は「乳歯が抜けたまま大人の歯が生えてこない」でした。レントゲンで確認すると、永久歯の本数が1本少ない事が分かりました。このまま放置されると、歯が傾きだして、歯並びにも影響します。そこで「脱着式の部分入れ歯」を入れて、「歯並びをKeep」することを提案しました。
型取りをしてから4日後、試作の入れ歯が届きました。
チェックポイントは
①カタカタせずに、ぴたっと入るか?
②痛い所はないか? 噛み合わせは大丈夫?
③デザインは優れているか?(他人から見て、入れ歯と分からないような設計になっているか?)
など細かくみます。 続きを読む
元気・やる気・Dr.鈴木のコラム
見た目もこだわる保険のミニ入れ歯
カテゴリ:入れ歯 歯科全般
保険のミニ入れ歯で超快適!
カテゴリ:入れ歯 歯科全般
50代の奈良市在住男性。「近所で作ってもらった入れ歯があわない。インプラントを薦められたが、『よい入れ歯』で調べてここに来ました。」
私:「保険の入れ歯でも当院では、個々にあった型枠やシリコン材を使って型取りをしますので、
ほぼ無調整で、ぴったりフィットする部分入れ歯に仕上げます。また見た目も考慮していますので完成を楽しみにしていて下さい。」< 続きを読む
大至急!入れ歯を作って下さい。
カテゴリ:入れ歯 歯科全般
60代の男性。主訴は「前歯が折れた。奥の入れ歯も失った。かっこ悪いのでなんとかして欲しい」でした。
失った前歯2本の根は割れていたため、残せそうにありません。しかし、このままでは見た目が良くありませんので、割れた根の上から入れ歯を乗せて、急いで前歯を復元させることにしました。型取りをしてから10日後、部分入れ歯=写真上=の完成です。 続きを読む
見た目を考慮したミニ入れ歯
カテゴリ:インプラント 入れ歯
50代の女性。主訴は「右上の奥歯がないので、息がもれてしゃべりにくい」でした。
今回は、きれいな歯を削ることや、インプラント手術などは避け、小さくてコンパクトな入れ歯=写真=をご用意して、馴染んで頂くことになりました。
型取りをしてから3日後に試作入れ歯で、大きさ、薄さ、フィット、噛み合わせをチェックします。その後、数日かけて仕上げます=写真。
続きを読む
薄くて、割れない入れ歯とは
カテゴリ:入れ歯
50代の男性。主訴は「奥歯がほとんど無いので、出来るだけ違和感の少ない入れ歯をお願いします。」
でした。
当院では、保険の入れ歯(プラスティック製)でも出来る限り薄い入れ歯を作製していますが、”薄く”には限界があります。その点、メタルで作られた保険外の入れ歯=写真=は「薄くて(厚み1㎜)、割れない丈夫な入れ歯」といえます。この患者様は、嘔吐反射の癖をお持ちでしたが、新しい入れ歯を装着した初日から「嘔吐(えず)かず、痛まず、いいよ!」と嬉しいコメントをいただきました。 続きを読む
部分入れ歯からインプラントへ
カテゴリ:インプラント 入れ歯
この写真は、右上に、3本のインプラント治療が完成したところです。50代の女性。主訴は「私、どうしても入れ歯は馴染めないわ。思いきってインプラントしようかしら?」でした。
金属部分=写真=が、歯茎から少し出ているのが分かりますか?
これから、この部分に白いセラミックの歯を取付けていきます。
続きを読む
総入れ歯からインプラントへ
カテゴリ:インプラント 入れ歯
これは、上あご全てにインプラント治療を終えられた60代男性の写真です。
「上の入れ歯をインプラントにかえたい。出来るなら、費用は抑えて、丈夫で長持ちさせて欲しい」
これが、この患者様のインプラント治療に対する希望内容でした。
実際、上あごには御自身の歯は1本も残っておらず、総入れ歯が装着されていました。そこで、5本のインプラントを上あごに埋入して土台を作り、セラミック歯の12本(連続)を5本のインプラントにネジで固定しました。
続きを読む
しっくりこない入れ歯(その2)
カテゴリ:入れ歯
初診。60代の男性。
主訴は「最近、作った入れ歯=写真=があってない。上手いこと入れ歯、作ってもらえる?」でした。
続きを読む
しっくりこない入れ歯(その1)
カテゴリ:入れ歯
50代の男性。主訴は、
「先生、入れ歯がしっくりこないんです。どうも前の歯が、変な感じがする。
作ってまだそんなに、日が経ってないんよ」
患者様と相談した結果、保険の入れ歯を当院で、新たに作り代えることにしました=写真。まずは、試作の入れ歯作りの開始です。
続きを読む
17才。大人の歯が生えてきません
カテゴリ:入れ歯 歯科全般
17才の女性。主訴は「乳歯が抜けたあと、永久歯が生えてきません」=写真左=でした。
まず、永久歯が生えてこない状態のことを「先天性の永久歯欠損」といいます。原因は、生まれつき大人の歯の数が少ないため、乳歯が抜けたあとに歯が生えてこないのです。このような場合、3通り(インプラント/ブリッジ/入れ歯)の治療方法があります。
まずは、インプラント治療。これならブリッジ治療のように、両サイドの白い歯を削る必要はありません。また入れ歯のような装着時の違和感もありません。「インプラント=ベストの選択」と言いたいところですが、この患者様の年齢(17歳)を考えますとインプラント治療の時期はまだ早い(あご骨が成長途中のため)と考えられます。
残り、「ブリッジ」と「入れ歯」のどちらを選択すればいいのでしょうか?
続きを読む











