元気・やる気・Dr.鈴木のコラム

 2011/12/8 

大至急!入れ歯を作って下さい。
カテゴリ:入れ歯 歯科全般 

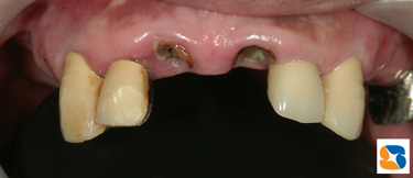
前歯の根が割れる 60代の男性。主訴は「前歯が折れた。奥の入れ歯も失った。かっこ悪いのでなんとかして欲しい」でした。

薄くてピッタリフィットの入れ歯 失った前歯2本の根は割れていたため、残せそうにありません。しかし、このままでは見た目が良くありませんので、割れた根の上から入れ歯を乗せて、急いで前歯を復元させることにしました。型取りをしてから10日後、部分入れ歯=写真上=の完成です。

最近、「保険で新しい入れ歯を」の問い合わせが、増えています。年内までに完成希望の方、入れ歯が不自由で困っている方は、お早めに受診されることをお勧めします。

入れ歯の金具は見えません。 ぴったりフィット。見た目もきれいな入れ歯に患者さんからは納得して頂くことができました。