元気・やる気・Dr.鈴木のコラム

 2011/11/24 

かぶせた前歯のブラックライン
カテゴリ:審美 歯科全般 

古い前歯の黒いスジ 30代に女性。主訴は「前歯の黒い色が気になる。保険で直せますか?」でした。
鈴木:「治療回数は2〜3回かかりますが、前歯の被せを入れ替えるだけで、きれいな口元に変えることができますよ」

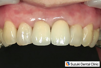
新しくやり直した前歯 早速、新しい被せ物に取り替えたところ、綺麗な前歯(保険)=写真=となりました。
治療回数は2回。費用は、保険の一定額です。