50代の男性。主訴は「奥歯がほとんど無いので、出来るだけ違和感の少ない入れ歯をお願いします。」
でした。
当院では、保険の入れ歯(プラスティック製)でも出来る限り薄い入れ歯を作製していますが、”薄く”には限界があります。その点、メタルで作られた保険外の入れ歯=写真=は「薄くて(厚み1㎜)、割れない丈夫な入れ歯」といえます。この患者様は、嘔吐反射の癖をお持ちでしたが、新しい入れ歯を装着した初日から「嘔吐(えず)かず、痛まず、いいよ!」と嬉しいコメントをいただきました。
歯の無いときの写真。左右の奥歯がないので、不自由されていました。
左の写真は、新しくできた入れ歯を装着した状態です。入れ歯の針がねを、出来るだけ目立たないような設計にしています。
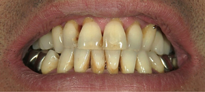
大きく口をあけた時の写真です。目立ちにくく、見た目も兼ね備えた”薄くて割れない金属製の部分入れ歯”に関しては、いつでも御相談ください。
元気・やる気・Dr.鈴木のコラム
2011/10/3
薄くて、割れない入れ歯とは











