10代の女性。主訴は「乳歯が抜けたまま大人の歯が生えてこない」でした。レントゲンで確認すると、永久歯の本数が1本少ない事が分かりました。このまま放置されると、歯が傾きだして、歯並びにも影響します。そこで「脱着式の部分入れ歯」を入れて、「歯並びをKeep」することを提案しました。
型取りをしてから4日後、試作の入れ歯が届きました。
チェックポイントは
①カタカタせずに、ぴたっと入るか?
②痛い所はないか? 噛み合わせは大丈夫?
③デザインは優れているか?(他人から見て、入れ歯と分からないような設計になっているか?)
など細かくみます。
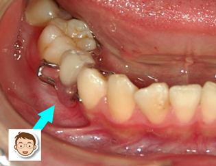
〈入れ歯を装着する前〉
br />
〈装着したところ〉
〈装着した正面観〉
使用して1ヶ月後の患者様の感想:「初めは舌で触ると最初は異和感がありましたが、今は大丈夫です。噛んでも痛くありません。」
良かったですね。がんばって使って下さいね。
元気・やる気・Dr.鈴木のコラム
2012/4/1
見た目もこだわる保険のミニ入れ歯











