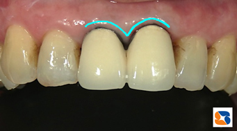
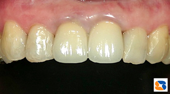
50代女性。「20年ほど前に入れた前歯を綺麗にやりかえて欲しい」でした。 新しい前歯は「セラミック(自費)」と決めておられました。 仮歯を本番に見立てながら、歯の大きさ、長さ、厚みなどを仕上げていきました。最終のセラミックスの歯は、仮歯を見本に作られます。装着された2本のセラミックスの出来映えについてお尋ねすると、「これで笑う時に手で口元を隠さなくて済みますね」とニッコリ笑顔で応えて下さいました。ありがたいお言葉に感謝です。