30代の男性。主訴は「夜勤で忙しくてあまり治療に行かなかった。痛いところはないが、全部キレイにしたい」でした。
Dr:「残すのが厳しい?(抜歯に近い)歯も1本ずつ丁寧に治療を行って再生させます。それには、通院回数が必要ですが諦めずに通って下さいね」
左は開始から3ヶ月過ぎの状態です。夜勤前の貴重な睡眠を削って、1週間に2度のペースで来院して下さいました。
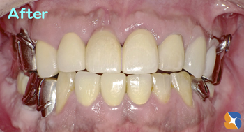
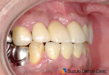
初めて使う上・下の入れ歯も「痛い所はない。しっかり噛める。気持ち悪さも直ぐに慣れた」とのこと。残すは前歯のみ。
水色の◯は、目立たない入れ歯の留め金です。
初診から6ヶ月。ようやく治療が終わりました。患者様ご自身も想像以上の出来映えに、喜んで下さいました。(All保険)
現在、月に1回のメンテナンスに来て下さっています。担当した衛生士が、毎回治療の最後に必ず歯ブラシと歯間ブラシを実地していました。そのテクニックを今では完璧にマスターされています。衛生士の力だけでは及ばない箇所はDrと組んで歯茎の手術も行いました。本当に、本当によくガンバって下さいました。
今年も残り僅かとなりましたが、スタッフをはじめ私の信念に力を貸して下さった多くの皆様には改めて感謝します。ありがとうございました!
2014年もよろしくお願いします。鈴木雅智
元気・やる気・Dr.鈴木のコラム
2013/12/23
チームで好青年をサポート2013「輪」











