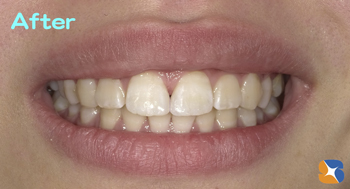
吹田市から20代女性。主訴は「前歯のすき間を無くしたい」でした。患者様には3つの方法を伝えました。 ①矯正②薄いセラミックを貼付ける③樹脂をすき間に詰める。 その結果、③の「樹脂を詰める」(左の写真)を選択されました。 ハイブリッドレジン(樹脂)を使用して、前歯のすき間を埋めました。費用は約3,000円(保険) 注)噛み合わせに個人差がありますので、全ての患者様がこの治療法を選択できるわけではありません。