初診。50代の男性。主訴は「入れ歯が合ってないと言ったら『インプラント』をすすめられた。まずは、入れ歯でメシがうまく食べれるように頼みます」でした。
Dr:「分かりました。早速、当院でごく普通に作っている入れ歯の製作に取り掛かっていきましょう!『ごく普通』と申しましても、かなり「こだわりのある保険の入れ歯」ですので期待していて下さいね。
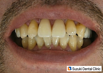
4回目の来院で保険の入れ歯が完成=写真左。このように当院では、「目立たない入れ歯、分からない入れ歯」を制作しています。
•薄く
•小さく
•初日からピッタリ
•目立たない
を我々は日々追求しています。
いつも患者様から頂く「いいの作ってくれて、ありがとう!」のひと言に私達スタッフも嬉しくなります。こちらこそ、お礼のお言葉ありがとうございます!
元気・やる気・Dr.鈴木のコラム
2012/5/25
「品質の高い入れ歯」を保険で!











