元気・やる気・Dr.鈴木のコラム

 2012/5/13 

保険の前歯からセラミックの前歯へ
カテゴリ:審美 歯科全般 

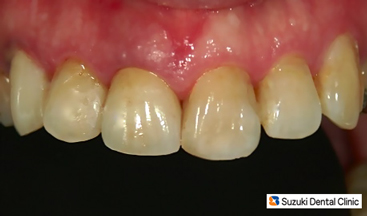
保険の前歯 黄ばむ 50代の女性。主訴は「だいぶ前に入れた前歯の変色が気になる。きれいに出来るなら代えて欲しい」でした。

セラミックの前歯 古い保険の前歯を除して、新しくセラミック歯に変えました=写真左。 その結果、周りの歯の色と調和のとれた仕上がりになりました。