元気・やる気・Dr.鈴木のコラム

 2012/5/1 

救急の電話「事故で前歯が…」
カテゴリ:歯科全般 

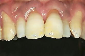
歯が欠けて前歯が痛む 夜中8時半過ぎ。
救急で20代の男性来院。主訴は「現場で資材にぶつかり歯が欠けた。風にあたっても痛む」でした。

1日で修復とヤニ取り 欠けた部分の大きさから判断して神経は取らずに、欠けた部分のみを歯科用のプラスティック(材料名:レジン)で埋め合わせました=写真左


※治療回数は本日1回のみ。ヤニ取りを含め全て保険で治療を行っています。