元気・やる気・Dr.鈴木のコラム

 2012/4/23 

「唐揚げ」で前歯のトラブル
カテゴリ:歯科全般 

保険の前歯は衝撃に弱い 30代の男性。主訴は「昨夜、唐揚げを食べていたら剥がれた。1本歯が無いので=写真×印、3本続きの作り物の歯を被せている。」

前歯が1本ないため3連結が入っていた 「何度修理をしても剥がれる」ということでしたので、この被せ物を外して=写真左=、新しく一から作り替えることにしました。

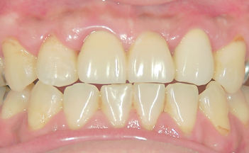
保険で仕上げた3連結のブリッジ まず虫歯の治療を済ませ、次に仮り歯を使って歯肉炎のコントロールを行いました。3ヶ月後、新しい前歯(ブリッジ:橋渡し)がきれいに完成=写真左=しました。※材質は3本ともセラミックです。