元気・やる気・Dr.鈴木のコラム

 2012/5/31 

ホワイトニングの後にセラミックを!
カテゴリ:審美 歯科全般 

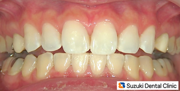
ホワイトニング と セラミック 20代の女性。主訴は、「銀=写真左◯印=を白くしたい」でした。
Dr.提案:「歯全体をブリーチング剤でホワイトニングしてから、その色に合わせてセラミックの歯を2本入れるといっそう綺麗な口元になりますよ!」

ホワイトニング後にセラミック装着 ブリーチングで前歯をナチュラルホワイトに変えてから、セラミックの歯を2本装着=写真左=しました。

ブリーチング(ホーム&オフィッス)は、上下総額60,000円です。