大阪市内から40代の男性。主訴は「最近、歯を抜いたあとに入れ歯を作ったが見た目が悪いので入れたくない。保険で目立たない入れ歯を作って欲しい」でした。
早速、型取りから開始。4回目の来院で完成=写真左。見た目もスッキリしました。旧入れ歯は、カタカタしていたそうですがそれも改善しました。
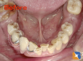
旧入れ歯=写真左=は、ごく一般的な保険の入れ歯です。決して審美的に優れているとは思えませんが、これが現状です。
当院では同じ料金で、自費の入れ歯に使用されている審美的にも優れたスタイリッシュな入れ歯の金具(引っ掛けバネ)を保険の入れ歯に使用しています。患者様がおっしゃる「作ったけれど使っていない…」これは患者様だけの問題ではないと私は考えます。「よく噛める、カタカタしない、見た目も気にならない」究極の保険の入れ歯を当院は目指しています。
元気・やる気・Dr.鈴木のコラム
2013/10/31
保険の入れ歯にも優・良・可











