50代男性。主訴は「入れ歯が嫌。私にでもインプラントできますか?」でした。Dr「少し見た目の気になる入れ歯=写真左=が入ってますね」
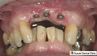
入れ歯を外すと、下の前歯は長くて、歯ぐきに突き刺さりそうでした。また、歯のない上あごの骨は、厚みがありませんでした。
幅の薄い歯茎に3本のインプラントが入りました。これは、インプラント手術の技術向上や、より細いインプラント体の開発の進歩によるものです。
左は、インプラントの上に手作りの歯を装着したところです。入れ歯とは全く異なった外観になりました。
「どうですか?」と私からの問いに、「うん、うん。インプラントにして良かったわ!」と頷いて下さった患者様。ホッとする瞬間であり、これから一生メンテナンスをさせていただく始まりでもあります。
この一年、多くのインプラント施術に携わらせていただきました。「鈴木歯科医院なら大丈夫。歯をどうやって残せるかを考えてくれるよ。それがダメでも、入れ歯や連結のブリッジ、インプラントも安心して任せられるから!」そのような声をたくさん聞かせて頂けるように頑張った一年でした。2013年の鈴木歯科医院は、患者様のお口の中に対して、よりグレードの高い最新情報をサービス・提供できることをお約束します。期待していて下さい。
元気・やる気・Dr.鈴木のコラム
2012/12/31
2013進化する医療技術











