先程、インテックス大阪で日本デンタルショーが開催されました。各メーカーが、新たに開発した新商品を発表、展示するショーといったところです。(株)ヨシダもその中の一つでした。左の写真は、歯を2D(平面)や3D(立体)にレントゲン分析する機械です。以前に比べ、より画質が細かく、鮮明になっていたことに驚きました。これなら、歯を削らず、または歯茎を切らずにして、より正確な診査・診断が可能となります。
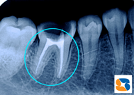
左は、一般的なレントゲン像。この平面画像をみて、歯を立体的にイメージし、治療に取り組むことが歯科医の役割でしたが…。
CTで撮影した歯をパソコンで分析。縦割り、横割りにされた歯の断面が次々と画面に表れてきます。また、がい骨?のような茶色の画面からは、歯周病で失われた骨の量や場所が表示されます。
左の3D画像からは、虫歯の大きさ、失われた骨の量、神経が走行している位置など様々な情報が入ってきます。
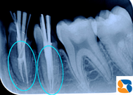
これは、私の歯を横割りにした画像です。左下の奥歯が、丸ではなく、視力検査のCのような形をしていました。自分の歯の輪郭を鮮明に知ることができて感動です。
今度は、同じ奥歯を縦割りにした画像です。歯の根の先が、杖のように急カーブをしていたことに再び感動です。
歯の根の治療だけで一日に10人以上の患者様が来られる日も珍しくはありません。CTを使って歯の構造を事前に把握しておけば、よりレベルの高い治療が施術されるはず。16年前に亡くなった歯科医の祖父も「今は凄い時代で羨ましいな〜」と微笑んでいる気がしてなりませんでした。いよいよ歯をCTで診査する時代の到来です。
※CT撮影協力、(株)ヨシダ
元気・やる気・Dr.鈴木のコラム
2012/12/24
歯をCTで分析する(保険適用)時代











