昨年の11月末。奈良市から50代の女性。主訴は「10年前に奈良でしてもらったブリッジが痛くて噛めない。色んな歯医者で診てもらったが、全て【抜歯が必要】と言われた。またブリッジにして、今度ダメになったら次は部分入れ歯でしょ。それは困る。」でした。
インプラントを行うなら当院の「再生治療付きインプラント」を希望されていましたので、砕けたブリッジをインプラント1本でしっかり噛めるように修復することに決まりました。
後日ブリッジを外してみると、ブリッジの土台の歯根が見事に粉々に砕けていました。
静脈麻酔鎮静法を用いて、半ばうとうと眠った状態で手術を行います。
インプラント施術を行う方に限り無料です。
砕けた歯根を抜歯した後、続けてインプラントを同日に移植しました。
CGFと骨の誘発材(β−TCP)を使って、アゴ骨と歯肉の早期再生・回復を促しました。
使用インプラント:スプライン直径3.75㎜、高さ11.5㎜
手術から2ヶ月後の状態です。綺麗に歯肉が整い、アゴ骨も回復しています。
最初の手術から3ヶ月強でインプラントの歯が完成しました。
元気・やる気・Dr.鈴木のコラム
悲しきブリッジ 再生治療付きインプラントでチェンジ
カテゴリ:Dr.鈴木日記 インプラント 静脈麻酔鎮静法
小1に生えてきた思い出の6才臼歯。次はインプラントで…。
カテゴリ:Dr.鈴木日記 インプラント
八尾市より50才の男性。高校教師。主訴は「10年前、鈴木先生になんとか残してもらった奥歯が痛くて噛めない。いよいよ抜かないとダメだと思う。抜いた後の事も相談したい。」でした。
Dr.「よくここまで持ったと思います。ただし、奥歯が1本無いまま過ごしてこられたので、上の一番奥の歯が、垂れ下がっています。銀歯の手前の歯もベロ側に(内向きに)傾いているので、入れ歯も作るのも、慣れるのも、大変だと思います。
インプラントを2本移植して「しっかり噛める奥歯」を作るのがベストかもしれません。
グラグラの奥歯(分割歯)を抜歯させて頂いたところです。
2本のインプラントが移植されました。経過良好です。
2連結のセラミックにインプラントが、装着(完成)されました。
〈患者様の感想〉
・昔、先生に抜歯してもらった時に比べて全然楽やった。歯をぬいて、その日にインプラントをしてもらって、目が覚めたら終わっていた。
何も覚えていない。ほんま楽やった。
・傾いている歯もどうしようか悩んだけど、先生に『無理に抜く必要はない』と言ってもらった歯磨きガンバって残そうと思った。
・小学校にあがった時に生えてきたのを覚えている。50年間よく噛んでくれてお礼をいいたい。先生にインプラントをしてもらって良かった。
お母ちゃんに「大人の歯はもう生えてこないから、死ぬまで使わんとアカンねんで」と言われていたのにすごい時代になりましたね。
スーパーボンドも破壊 グラグラの前歯をImpが救世
カテゴリ:Dr.鈴木日記 インプラント 審美 歯科全般
60代の女性医師。主訴は「先生に接着剤で止めてもらっていた前歯がはずれた。グラグラで引っ張ったら抜けそう。鼻の下辺りも、朝 顔を洗っていたらなんか変。どうしよう?」でした。
Dr.S :「噛み合わせが特殊なので難しいです。入れ歯は下の前歯が歯肉にまで突き上げているので、入れ歯の厚み分が収まりません。ブリッジが一般的な治療ですが、神経を抜いたり、冷たい物にしみて痛くなったり、被せ物が割れたりとあまりオススメ出来ません。40万近い治療費にはなりますが、インプラントなら入れ歯やブリッジの心配事項をクリア出来ます。」
患者様は、抜歯した同日に、インプラント移植と、骨の増強を一度に行う治療を選択されました。また、仮歯を付けて帰る事も希望されました。
自己血液を使って、フィブリンの塊(CGF)を院内で作成します。
この成分は、単に患部の痛みや腫れを抑えるだけでなく、人工的な骨の造成を手助けをしてくれます。かなり頼りになる逸材です。
動物由来でない人工骨(β-tcp)にCGFを混ぜることで、粉々から一塊に変わります。
かなり、操作性が良くなります。これを使って、骨の不足している部分に補填します。
インプラント移植が完了したレントゲン。インプラントの半分位が上顎の骨で満たされていません。
その不足している部分に先程の人工の骨を補填します。
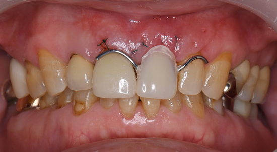
手術当日の仮歯。わざと、薄く、短く仕上げています。
手術から3ヶ月後の状態。色見本を参考にしながら、セラミックの前歯を最終完成させていきます。
指示したインプラントの前歯が完成してきました。どのような仕上がりになっているのか、ワクワクします。
手術時の傷口は、キレイに治っています。インプラントを装着する部分の歯肉だけが円状になっています。
完成です。インプラントのおかげで、歯を削らずにすみました(ブリッジ)。入れ歯の金具もありません。他の歯に迷惑をかけることなく、前歯が再び、独立、誕生しました。
〈患者様の感想〉
・接着剤(歯科用のスーパーボンド)で止めていた頃は恐る恐る噛んでいたが、今は何でも噛めるようになった。
・その分、早く噛めるようになったので、逆にもう少しゆっくり、咀嚼回数も考えながら食べるようにしないとね。
・前歯も自然な感じでいいわよ!
〈Dr〉
お疲れさまでした。やはり、インプラントを移植した日に、仮歯を装着されて帰られる患者様の場合は、本当に最後の最後まで緊張します。
上手くいって何よりです。仕事の合間にメンテナンスに来て下さいね。
今年 1/25 のブログ「上顎の天井裏を人工骨で埋立て〜再建」の経過報告
カテゴリ:Dr.鈴木日記 インプラント 静脈麻酔鎮静法
上顎の天井裏を人工骨で埋立て〜再建の経過報告です。
8ヶ月前、インプラント移植が不可能だった骨を増殖させる手術を行いました。
その後、CTで骨の状態を確認したうえで、以下のインプラント移植手を9月に行いました。
しかし、またもや大きなトラブルが待ち受けていました。それは…
〈骨の厚み増加に成功〉
①側面から観たCT画像断面
②正面から観たCT画像断面
③頭上から観たCT断層写真
そのトラブルとは…
骨が出来るまでの期間、ギリギリの状態で残していた(噛む所が無くなる為)奥歯をようやく本日 抜歯できます。
そして、抜歯した所の前後にインプラントを移植する予定でしたが…。
抜歯した奥歯の根が、著しく溶けて短くなっています。
これを目にした瞬間、今までの経験上とても嫌な予感がしました。
抜いた歯の根の周りは、かなり大きく骨が欠落していました。
CTを用いて入念にチェックしていましたが、これは想定外でした。
再度6ヶ月待って骨だけを作るべきか、インプラント移植と同時に骨の再建に取り組むか悩みました。
前者を選ぶと、おそらく患者様は半年間も奥歯の無い生活に不満が出ることでしょう。
それを考えると、後者のインプラント移植と骨の再建とを同時に取り組むことにしました。
水色の2箇所の予定場所(=写真=)の中間位置に太めにインプラントを移植することにしました。
インプラント移植と骨の増殖を同時に行いました。
骨の増殖には、人工骨β-TCPとCGF(フィブリノーゲン)を混ぜた物を使用しています。
人工骨の変形や流出を避けるために、CGFメンブレンを利用しました。
これは、採血した自己血液を利用して、院内で製造したものです。
当院は、近畿厚生局が認可した再生医療加工施設です。
無事に施術が完了しました。
傷口がキレイに治れば、早々に型取りをして仮歯を装着予定にしています。
年内には奥歯が復活しますのであと少しお待ちください。
使用インプラント:USAオッセムSA 直径5㎜と6㎜、長さ10㎜
想像以上に骨がガッチリと出来上がっていました。
手術から3ヶ月後の様子です。
手術から4ヶ月後の様子です。
〈患者様の感想〉
大きな手術を2回を受けて、正直大変でした。石切まで1年半通ってしんどかったですが、今は何でも噛めるようになってそれ以上に喜んでいます。
何処へ行っても「インプラントは無理!」「魚、食べないと!」とか、「やったとしても300万は要る!」とか医院によって話すこともバラバラ。
心が傷つく事もたくさん言われてきたので、正直もう諦めていましたが岸和田から通って良かったです。
あれほど全くなかった顎の骨もしっかり作ってもらえましたし、料金も300万円の半分で済みました。
最新の治療を受けれて、気さくなスタッフさんに励ましてもらって、本当に有難く感じています。
ここまでは遠いので、『後は(メンテナンス)岸和田でしてもらってていいですよ』とおっしゃってもらってますが、出来るだけ通います。
〈以下は1/25のブログ〉
50代の女性。主訴は「先月、他院で入れてもらった左上のブリッジが噛むと痛い。最近、奥が腫れてきたので調べて欲しい。」でした。
そこで、装着していたブリッジを外し、奥歯を歯科用CTでチェックさせてもらうと、グラつく歯の根の周りが大きな膿みの袋で覆われていることが判明しました。
患者様には抜歯の必要性と抜歯後の入れ歯(保険)を説明しました。
また、上顎の骨は、厚みと幅があまりにも薄過ぎる(2㎜の厚み)ため「インプラント施術を受けれる状態ではない」ことをはっきりお伝えしました。
しかし、「入れ歯は出来るなら避けたい!」とのことでした。
再考した結果、まず抜歯予定の奥歯の周辺に、骨を人工的に造成して、インプラント施術が行える環境にチェンジ(サイナスリフト)してみる事にしました。
R…細みのインプラントサイズ予定
W…太めのインプラントサイズ予定
静脈麻酔鎮静法のもと、上顎の天井裏の部屋(上顎洞)に人工の骨を埋め立てる施術に取り掛かりました。
歯科用CTで予測していたとおり、かなり痩せ細ったアゴ骨をしていました。
このままでは、インンプラントの移植は不可能です。
自己血液を使って、フィブリンの塊(CGF)を院内で作成します。
この成分は、単に患部の痛みや腫れを抑えるだけでなく、人工的な骨の造成を手助けをしてくれます。かなり頼りになる逸材です。
動物由来でない人工骨(β-tcp)にCGFを混ぜることで、粉々から一塊に変わります。
かなり、操作性が良くなります。
人工骨がバラバラではないため、かなりまとまった状態で天井裏に骨を移行させることが可能となります。
天井裏への作業は、歯茎のサイドから行います。
人工骨の埋立てが完了すれば、CGFを圧接して膜に作り変え、「カバー」として歯茎を覆い、最後は縫って閉じます。
側面から観たCT画像断面
正面から観たCT画像断面
頭上から観たCT断層写真
インプラント移植までの半年間は、抜歯をせずに「仮歯」として保存しておきます。予測では、埋立てた人工骨の体積が半分まで圧縮すると考えていますので、その状態に近づけば、奥歯を抜歯して、同時にインプラントの移植(3本)を行います。上手くいけば、骨作りから始まり、約11ヶ月後にはインプラントの歯で噛める予定です。
当院では、上顎洞の空間を人工の骨で造設して、インプラントが移植できる環境に代える施術を常時行っています。
「骨作り」はあくまで、「自分の歯で美味しく噛んで頂くための準備の一環」と私は考えています。
※費用:180,000円(材料費、静脈麻酔鎮静法、CGF製造すべて込み)
スマホから情報キャッチ 即対応
カテゴリ:Dr.鈴木日記 インプラント 歯科全般 静脈麻酔鎮静法
G.W.前。50代の男性。主訴は「昨日、腫れて噛めなくなった歯を引っ越し先の歯医者(大阪市内)で抜いてもらった。抜いた跡はどうなるのか?尋ねると
『骨が大きく溶けて陥没しているので、入れ歯もインプラントも難しい。少なくても一年間は何も無いままです。』
と言われた。ショックで、以前診てもらっていた鈴木先生に相談したい。」でした。
「抜いた歯の写真をスマホで撮ってある」と電話口でおっしゃられていたので、その画像を医院専用スマホにまず送信して頂きました。
再度電話にて
Dr:「大きな膿の袋が歯にくっついています。おそらく骨も大きく欠落してそうですね。ただし、そこを将来どうするか?が問題です。
入れ歯なら半年も経てば入ります。
以前のように、しっかり噛みたい(本気でインプラントを考えている)ならスケジュールを合わせて早々に手術をします。」
電話から3日後、手術を前提に来院。
まず現状(=写真=)を診たうえで「4ヶ月後の8月には、仮の歯が入る。5ヶ月後の9月には、最終のセラミックの歯が入って完成予定」と今後の流れを説明したうえで、早速施術に取り掛かりました。
レントゲンで骨の欠落状況をチェック。
※情報となるCT画像も撮影済み
高さ、幅、共に大きく骨が欠落しているため、β-TCP(人工骨)とCGFを絡めた塊と自分の骨の一部を欠落部に補填する準備を行いました。
インプラントの移植が完了しました。
先ほどのβ-TCP(人工骨)とCGFを絡めた塊と自分の骨の一部を欠落部に補填して、移植したインプラントが1㎜たりとも傾かないように固定させて終了いたしました。
型取り前の状態です。施術から3ヶ月が経過しました。計画通り順調です。
1ヶ月間、仮り歯を使って頂いた後、ネジ止め式のセラミック被せ物が本日完成いたしました。
施術から5ヶ月です。
〈患者様の感想〉
・手術から3ヶ月で噛める(仮歯)ようになったのは嬉しかった。
・最初は重たい感じがしていたけど、今は普通に違和感もなく噛める。
・歯を抜いて直ぐに先生に相談して良かった。
〈Dr〉
「急なアポイント(午前診も午後診も予約満席)でしたので、お昼休みの2時間だけで完了させれるのか?朝から私も不安でした。
が、上手くいって良かったです。ホッ‥
※総額41万円(税別)
・インプラント移植〜セラミック完成まで350,000円
・うたたね静脈麻酔鎮静法無料
・骨の再生療法35,000円
・仮歯10,000円
・手術費15,000円
※10年保証
※医院専用スマホがございます。来院前に情報提供(SMS:ショート・メール・サービス)をされたい方は、電話にて申し伝え下さい。
がっちりBodyを支えたブリッジが崩壊 その救世主とは
カテゴリ:Dr.鈴木日記 インプラント 歯科全般 静脈麻酔鎮静法
40代の会社員男性。主訴は「12年ほど前に入れたブリッジが、唐揚げを食べていた時に折れた。痛くて噛めない。以前から先生に『被せたブリッジの手前側が外れているので、悪くなる前にやり直した方がいいよ』と言われていた所。ほっといた自分が悪い。御輿(みこし)も担いでいるので、奥歯に力が入らないとシャレならん。インプラントも考えている。」でした。
まず、CT画像で現状を伝え、充分な治療計画を元にカウンセリングした結果、インプラント施術を行うことになりました。緊急手術のため今回は、技工士さんに依頼した手作りサージカルガイド(手術用のナビゲーション:無料)を使用しました。
3本のインプラント移植と抜歯穴に人工骨とCGFを混ぜ合わせて埋めた「骨の再生治療(無料)」も同時に行いました。
施術から5日目。「痛みも腫れも気にならなくなってきた。」とのこと。
施術から2ヶ月後の型取り前の様子。当院では、必ず仮の歯を用意・装着して「噛み合わせの慣らし」を行います。
インプラントの施術から3ヶ月後の様子。セラミックで出来たネジ固定式の白い奥歯が完成しました。
使用インプラント:USAオステム社製 TⅡ-SA 左端から長さ8.5,10,11.5㎜の順。太さはいずれも直径4㎜。
〈患者様の感想〉
・先生すごいわ!ほんまによく噛める。ここまで噛めるとは思わんかった。インプンラントを入れていることを忘れてしまうのが怖い。
・奥歯がやられてこの先どうなるのか正直焦った。改めて歯の大切さを痛感した。
・しゃれならんくらい怖がりやけど、寝ながら(静脈麻酔鎮静法)の手術がほんまに有り難かった。
※総額110万円(税抜き)
※10年保証
昨年12/29のブログ「永年の夢に向かって …最後を飾るインプラント」の結果報告
カテゴリ:Dr.鈴木日記 インプラント 歯科全般 静脈麻酔鎮静法
〈Before〉
〈Before〉
〈Before〉
上アゴの骨が痩せ細り、インプラントも無理だと諦め、永年、入れ歯で苦労されてきた患者様のその後の結果をお知らせします。
〈New〉
手術から2ヶ月が経った頃、患者様から「入れ歯が痛くて噛めない」と連絡を受けました。
早速、歯茎の状態をチェックすると、赤く腫れている所が1箇所ありました。その部分を指でチェックすると、移植したインプラントが揺れていることが判明。残念で悔しい思いでしたが、撤去しました。
その後、5本のインプラントは確実に定着してくれていましたので、型取りを行いました。
寸分の狂いや隙間が生じないように、丁寧かつ慎重に様々な工程を繰り返しながらネジで完全固定タイプの入れ歯を作成していきます。
完成したネジで完全固定タイプの入れ歯
ネジで完全固定タイプの入れ歯をいよいよ装着していきます。
この夏から使用を始めました。
〈患者様の感想〉
お友達とお食事に行っても、今までなら食後必ずトイレに行って入れ歯をこそこそっと洗っていた。また泊りがけの旅行に行っても入れ歯の心配(家のように外して寝れない)が総て解消された。自分の歯で、何でも自由に噛めるって本当に素晴らしい。歯の大切さを改めて実感しました。もっと長生きして残りの人生を楽しんでみようかしら。」
〈Dr〉
そうです。長生きして下さい。食べる喜び、生きる力をサポートするのが私の役割です。
インプラントは骨にドリルで穴を空ける治療です。想像しただけで、かなりホラーです。こんなホラー治療、誰もが受けたくないはずです。しかし、奥歯が無くて困っている、抜歯を迫られて困っている、前歯が折れた・割れた…。
この現実から限りなく元通りに復元させる解決法がインプラントです。
どうか勇気を出して下さい。
真剣にインプラントを検討されている方に向けて、目を背けたくなるような情報をブログにしています。
その情報は、大切な患者様の貴重な写真から構成されています。私の真摯な取り組みが、皆様に伝われば幸いです。
〈以下は12/29のブログ内容〉
12月28日、今年最後のインプラント施術。76歳の女性。主訴は「総入れ歯でご飯を食べていても全く美味しくないし、うっとしい。もう嫌になる。永いこと、アワビやタコやたくわんを食べていない。インプラントも考えていたが、骨が無いので断られた経験がある。それにとっても怖がり。どうしたもんですかね?」でした。
まず怖さ対策としては→静脈麻酔鎮静法で半分眠りながらの施術を手術前に私が常に行っています。(無料)
次に痛みや腫れの対策として
①歯茎を切らずにインプラント施術を行う
②点滴の中に、痛み止めや化膿止めのお薬を投与しながらおこなう
③採血させていただき、傷口の回復に欠かせないフィブリンの塊を当院で加工したものをインプラントの周囲に添えて傷口を短期で回復させます。
CT画像の分析を徹底的にした結果、僅かに残された骨の厚みと高さのある部分に、6本のインプラントを移植することが出来ました。
〈患者様の感想〉
・アゴが疲れた
・寝ていたと思うので全く怖さとか緊張感とかは無く楽だった
・春頃の完成が楽しみ。早く何でも噛んでみたい
〈Drより〉
長時間の施術、お疲れさまでした。アゴの骨幅が薄く、高さも無い場所に、歯肉をメスで切らずにインプラントを移植するのは相当ハードでしたが、僅かに骨のありそうな場所にインプラント移植を行いました。総て骨とガッチリ固定してくれることを願っています。また、スタッフのみんなも一年間本当にありがとう!

抜歯?残せる? 悩んだ末 マイクロスコープが決め手
カテゴリ:Dr.鈴木日記 インプラント 歯科全般 静脈麻酔鎮静法
東大阪市内の男性。主訴は「以前から歯が揺れていたが、差し歯がとれた。痛みや腫れは無かったが、数ヶ月前に歯茎からニキビみたなモノがあった。今も鼻の下を抑えるとやや違和感がある。」でした。
斜め横から噛み合わせをチェックすると、下の前歯が前方に突出しているため、上の前歯を裏側から強く押し当てているように思われました。
早速、歯科用CTで患部をチェック。問題のある歯の根の先は、ビー玉状に骨が欠落していることが確認できました。
その部分に膿が溜まり、違和感が生じていたと思われます。
この段階では、普通に歯の根の中の消毒(感染根管治療)をして歯を残すつもりでしたが…。
再度、拡大顕微鏡(マイクロスコープ)で歯根をチェックすると、肉眼では確認することが出来なかった歯根に亀裂(ヒビ)があることが分かりました。
CTを再チェック。やはり、歯の根のヒビに沿って、骨も溶けて無くなっている(下の丸い白円)ことが分かりました。
患者様には、「歯の根の上と下の両サイド(白い2つの丸線)から骨が無くなっている。そのため歯を支える骨が真ん中のみのため、歯が動いていたと思われます。」と説明しました。
ヒビのある根に噛む力が加わると、いずれ破折(根の分割)→抜歯へと移行します。
患者様と相談した結果、痛みや腫れの出る前に抜歯→膿のソウハ→インプラント移植→失われた骨の再生を同時に行うことにしました。
施術開始。
CT画像と全く同じ状態の骨の消失が、現実におこっていました。
歯の根の先部には複数のビー玉状の骨の消失が確認されています。
施術中、モロくて弱い骨に当たると、正しい位置にインプラントが上手く移植・固定出来ない可能性があります。
少しでも少ない骨を確保するため、Dr.林楊春 考案のルート・メンブレン法を実行しました。
ルート・メンブレン法とは、歯根の100%を除去せずに、かまぼこ板(薄い骨)にぶ厚めのかまぼこ(歯根の一部)を残す感覚で5%程の歯根を骨とセットで保存する方法です。
骨の消失を防ぐだけでなく、抜歯後の歯茎の凹みや陥没を抑える効果もあります。
CTでの予測通り、歯根の先付近の骨は、空洞の状態でしたので、彫り込む深度をあげて長めのインプラントを移植・固定させました。
あとはいつものパターン。骨の無かったところに、CGFとAFGを使って人工骨(β–TCP)を敷き詰めていきます。
半年もすれば本物の骨に置き換わっています。
①β-TCP+人工骨と AFGを敷き詰めました。
②CGFを圧縮すると、頑丈な粘膜になります。これを何層か敷き詰めて、施術後の安定を図ります。
本日の使用インプラント:ノーベルバイオケア社製のアクティブ 長さ 15㎜、直径 3.5㎜。
施術時間、約2時間で無事に終了しました。1ヶ月ほどは簡易な取り外し式入れ歯を使用していただきますが、その後はインプラントに仮歯を設置していく予定です。
〈患者様〉
・正直、抜歯になるとは想像もしていなかったが、レントゲン(CT)と顕微鏡(マイクロスコープ)で現状を正しく理解できた。
・妻も先生にインプラントをしてもらっているので安心していた。
・点滴(静脈麻酔鎮静法)が良かった。最初から最後まで殆ど覚えていない。
・術後3日間は、痛みの腫れもあったが、それ以降は日々楽になっていった。
・入れ歯は傷口の裂傷が心配なので出かける以外はほぼ使っていない。
〈Dr〉
・最近のインプラントの施術は難しいものが続いています。以前のように、「抜歯→ブリッジ→入れ歯」と年月を経て入れ歯にたどり着いた方への平坦な歯茎にインプラント施術を行うことが減りました。
抜歯した部分をブリッジに変えてしまうと、10年を過ぎた頃からブリッジの土台に何らかのトラブルが発生しやすくなります。
よって、この患者様の様に抜歯したした所に即そのままインプラントを移植して1回の手術で全てを終わらせるのは理想的です。
今回も無事に施術が終わって良かったと思っています。大事をとって、仮歯は1ヶ月以降に設定させてもらいます。
〈施術から1週間後〉

※総額41万円(税別)
・インプラント移植〜セラミック完成まで350,000円
・うたたね静脈麻酔鎮静法は無料
・骨の再生療法35,000円
・仮歯10,000円
・手術費15,000円
※10年保証
トラブル・インプラントのセカンドオピニオン続々(2)
カテゴリ:Dr.鈴木日記 インプラント 静脈麻酔鎮静法
大阪市内より40代のテレビ局関係者、男性。主訴は「2年前に入れたインプラントが痛くてよく腫れる。鼻にも違和感があるので耳鼻科で調べてもらったら、インプラントが骨から突き抜けていることが分かった。このインプラントを施術した主治医に問い合わせても、『私(主治医)と型取りをしてインプンラントを完成までさせた歯科医とが異なる(分業)ので、どうしてこうなったのかよく分からない。』といった無責任な対応をされた。最近、第3者に相談していた矢先に 隣の前の差し歯も取れた。同僚の紹介(静脈麻酔で親知らずを抜歯した)でここに来た。先生の見解を聞かせて欲しい。」でした。
(1)まず、取れた差し歯の根には、ヒビが入っている事が確認できました(マイクロスコープで割れた根を大きく拡大して双方確認)。
※ 歯の根にヒビが入っていると抜歯の確率が高まります。
(2)次にインプラント部を一般的なレントゲンでチェックしましたが、特に問題となるような所見はありませんでしたが…。
歯科用のCT画像で確認すると確かに薄い骨幅の骨の断面から、インプラントが突き抜けていることが判明いたしました。
正直、厳しいな〜と感じました。
『「貴方は強い噛み合わせをしているので、前歯をブリッジ(セラミック製)にするとブリッジもダメになります。!それなら同額(45万)のインプラントにしませんか?」という主治医の説明でインプラントを選択した。
それなのに「えっ!インプラントを抜いてブリッジに代える? ブリッジにしても大丈夫なんですか?」と前医に尋ねても
『インプラントを撤去してしまうと、貴方の場合はインプラントの再移植はもう出来ない。だからブリッジになってしまう。』と言われ、不安と怒りが去来。
相談の結果、患者様から「2本のインプラント(新旧)施術を当院でお願いします。」といった電話を後日いただきました。
他社インプラントの撤去器材をお借りして、いざ手術開始。
(1)割れた根と(2)骨から突き抜けたインプラントを確認することが出来ました。
割れた根を抜歯
骨から突き抜けたインプラントを撤去
2本のNewインプラント、移植成功。
自己血液を使ってCGFを作り、人口の骨(βーTCP)を骨の欠落部にセッテングしたところです。
使用インプラント:(左)ノーベルバイオケア社製のパラレルCC 直径3.75㎜、長さ13㎜。
(右)アクティブ 直径3.0㎜、長さ13㎜。
無事に施術終了。
テレビ関係者のため、直ぐにでも前歯が必要でしたので、施術後1週間で型取りを行いました。
※傷口を縫い合わせる糸はまだ残ったままの状態
施術後、僅か2週間で仮のインプラントを装着しました。
噛み込みが強いため、仮歯の分厚さの調整は慎重に行っています。
かなり難度の高い施術でしたが、術後2ヶ月経った今も経過は良好です。
また、私は一切関わっていませんが、前医との間で訴訟にまでは至らなかったようです。
これも良かったです。
〈患者様の感想〉
・正直、インプラントは諦めていたので本当に救って頂いた。
・仮歯もこんなに早く入れてもらい助かりました。
・麻酔をしたことも、最後の糸を縫っていたことも覚えていない。楽だった。
・最初の3日は痛かった。腫れも若干あったが、1週間もすれば落ち着いた。以前のような違和感は全くない。
〈私の感想〉
上手く経過をたどってくれていて本当に嬉しいです。
前歯は奥歯に比べて難しい。というのも早期に見た目(仮歯)を装着しなければならないからです。現に術後1週間での型取りは私も初めての経験です。
インプラントを移植するポジション、角度、深度、すべて狂いなく行われなければ成功しません。
施術後、「よっしゃ完璧!」と感じていましたが、消毒・洗浄で来院される度に正直ドキドキしていました。
また、陥没していた歯茎も同時にボリュームアップしていますので最終結果が楽しみです。
(参考)今回のインプラント2本分の費用:静脈麻酔鎮静法(無料)・骨の造成・仮歯・セラミックの前歯まで完成させて総額80万(税別)です。
※10年保証
インプラントの成功は入念な準備にあり〜好成績への方程式
カテゴリ:Dr.鈴木日記 インプラント 静脈麻酔鎮静法
難しい親知らずの抜歯、およびインプラント移植の手術時の院内風景。見学に来られるドクターでさえ仰々しい光景にビックリされます。
インプラント移植時に使うドイツ製の最新・最高の品質ドリルマシーン。骨を削るドリル操作時に全くブレることなく、確実な切削を提供してくれます。
ふわふわとした軽さがなく、ずっしりとした安定感のあるこの機種は一度使うともう手放せません。手術時の万が一の機械のトラブルに対応するため、更にもう一台スタンバイさせています。
女性スタッフ用の歯科専用の軽量コンパクトカメラ。手術時で私の手が放せない時、いつもスタッフに撮影してもらっています。素早く、キレイに撮ってもらい助かっています。
ドクターが使用する歯科専用の一眼レンズカメラ。“ソニックテクノ”というカメラ専門の会社が考案した優れモノです。
とにかく明るく、鮮明に撮れるため、手術後の患者様への説明に役立っています。
外科の手術には欠かせないCGF(自己採血由来の無添加フィブリン)です。
痛みや腫れをかなり抑えてくれるだけてなく、歯肉や顎骨の再生にもかなり貢献してくれています。
CGFと人工骨β-tcp(動物性の骨ではない)を一塊にさせて、必要なアゴ骨の場所の置いておくと半年程でアゴ骨に置換されます。
手術の当日は、機械が正常に動くかどうか点検をおこないます。
インプラントを移植した当日に仮歯を作ってから帰っていただくことがありますので、歯ぎしり防止用のマウスピース(ナイトガード)を全自動で製作して、型取りをしたその日にお持ち帰っていただいています。
これで完璧な準備が整いました。いよいよ手術の始まりです。
静脈麻酔鎮静法を行いながら難しい施術に挑んでいます。患者様も、我々スタッフも、双方が落ち着きながら施術が行える環境にあることが大切です。
手術はお昼休みを使ってほぼ毎日行っています。
私のお昼休憩は???ですけれど、スタッフのお昼休憩と1日8時間以内労働は守っていますので御安心下さい。
※静脈麻酔鎮静法は随時行っていますので、気軽にお電話下さい。











