上顎の天井裏を人工骨で埋立て〜再建の経過報告です。
8ヶ月前、インプラント移植が不可能だった骨を増殖させる手術を行いました。
その後、CTで骨の状態を確認したうえで、以下のインプラント移植手を9月に行いました。
しかし、またもや大きなトラブルが待ち受けていました。それは…
〈骨の厚み増加に成功〉
①側面から観たCT画像断面
②正面から観たCT画像断面
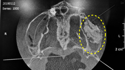
③頭上から観たCT断層写真
そのトラブルとは…
骨が出来るまでの期間、ギリギリの状態で残していた(噛む所が無くなる為)奥歯をようやく本日 抜歯できます。
そして、抜歯した所の前後にインプラントを移植する予定でしたが…。
抜歯した奥歯の根が、著しく溶けて短くなっています。
これを目にした瞬間、今までの経験上とても嫌な予感がしました。
抜いた歯の根の周りは、かなり大きく骨が欠落していました。
CTを用いて入念にチェックしていましたが、これは想定外でした。
再度6ヶ月待って骨だけを作るべきか、インプラント移植と同時に骨の再建に取り組むか悩みました。
前者を選ぶと、おそらく患者様は半年間も奥歯の無い生活に不満が出ることでしょう。
それを考えると、後者のインプラント移植と骨の再建とを同時に取り組むことにしました。
水色の2箇所の予定場所(=写真=)の中間位置に太めにインプラントを移植することにしました。
インプラント移植と骨の増殖を同時に行いました。
骨の増殖には、人工骨β-TCPとCGF(フィブリノーゲン)を混ぜた物を使用しています。
人工骨の変形や流出を避けるために、CGFメンブレンを利用しました。
これは、採血した自己血液を利用して、院内で製造したものです。
当院は、近畿厚生局が認可した再生医療加工施設です。
無事に施術が完了しました。
傷口がキレイに治れば、早々に型取りをして仮歯を装着予定にしています。
年内には奥歯が復活しますのであと少しお待ちください。
使用インプラント:USAオッセムSA 直径5㎜と6㎜、長さ10㎜
想像以上に骨がガッチリと出来上がっていました。
手術から3ヶ月後の様子です。
手術から4ヶ月後の様子です。
〈患者様の感想〉
大きな手術を2回を受けて、正直大変でした。石切まで1年半通ってしんどかったですが、今は何でも噛めるようになってそれ以上に喜んでいます。
何処へ行っても「インプラントは無理!」「魚、食べないと!」とか、「やったとしても300万は要る!」とか医院によって話すこともバラバラ。
心が傷つく事もたくさん言われてきたので、正直もう諦めていましたが岸和田から通って良かったです。
あれほど全くなかった顎の骨もしっかり作ってもらえましたし、料金も300万円の半分で済みました。
最新の治療を受けれて、気さくなスタッフさんに励ましてもらって、本当に有難く感じています。
ここまでは遠いので、『後は(メンテナンス)岸和田でしてもらってていいですよ』とおっしゃってもらってますが、出来るだけ通います。
〈以下は1/25のブログ〉
50代の女性。主訴は「先月、他院で入れてもらった左上のブリッジが噛むと痛い。最近、奥が腫れてきたので調べて欲しい。」でした。
そこで、装着していたブリッジを外し、奥歯を歯科用CTでチェックさせてもらうと、グラつく歯の根の周りが大きな膿みの袋で覆われていることが判明しました。
患者様には抜歯の必要性と抜歯後の入れ歯(保険)を説明しました。
また、上顎の骨は、厚みと幅があまりにも薄過ぎる(2㎜の厚み)ため「インプラント施術を受けれる状態ではない」ことをはっきりお伝えしました。
しかし、「入れ歯は出来るなら避けたい!」とのことでした。
再考した結果、まず抜歯予定の奥歯の周辺に、骨を人工的に造成して、インプラント施術が行える環境にチェンジ(サイナスリフト)してみる事にしました。
R…細みのインプラントサイズ予定
W…太めのインプラントサイズ予定
静脈麻酔鎮静法のもと、上顎の天井裏の部屋(上顎洞)に人工の骨を埋め立てる施術に取り掛かりました。
歯科用CTで予測していたとおり、かなり痩せ細ったアゴ骨をしていました。
このままでは、インンプラントの移植は不可能です。
自己血液を使って、フィブリンの塊(CGF)を院内で作成します。
この成分は、単に患部の痛みや腫れを抑えるだけでなく、人工的な骨の造成を手助けをしてくれます。かなり頼りになる逸材です。
動物由来でない人工骨(β-tcp)にCGFを混ぜることで、粉々から一塊に変わります。
かなり、操作性が良くなります。
人工骨がバラバラではないため、かなりまとまった状態で天井裏に骨を移行させることが可能となります。
天井裏への作業は、歯茎のサイドから行います。
人工骨の埋立てが完了すれば、CGFを圧接して膜に作り変え、「カバー」として歯茎を覆い、最後は縫って閉じます。
側面から観たCT画像断面
正面から観たCT画像断面
頭上から観たCT断層写真
インプラント移植までの半年間は、抜歯をせずに「仮歯」として保存しておきます。予測では、埋立てた人工骨の体積が半分まで圧縮すると考えていますので、その状態に近づけば、奥歯を抜歯して、同時にインプラントの移植(3本)を行います。上手くいけば、骨作りから始まり、約11ヶ月後にはインプラントの歯で噛める予定です。
当院では、上顎洞の空間を人工の骨で造設して、インプラントが移植できる環境に代える施術を常時行っています。
「骨作り」はあくまで、「自分の歯で美味しく噛んで頂くための準備の一環」と私は考えています。
※費用:180,000円(材料費、静脈麻酔鎮静法、CGF製造すべて込み)
元気・やる気・Dr.鈴木のコラム
2019/11/13
今年 1/25 のブログ「上顎の天井裏を人工骨で埋立て〜再建」の経過報告











