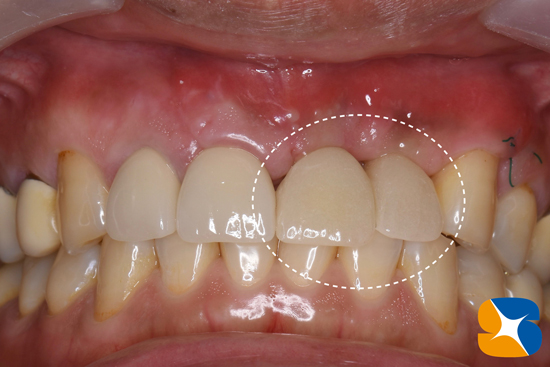
大阪市内より40代のテレビ局関係者、男性。主訴は「2年前に入れたインプラントが痛くてよく腫れる。鼻にも違和感があるので耳鼻科で調べてもらったら、インプラントが骨から突き抜けていることが分かった。このインプラントを施術した主治医に問い合わせても、『私(主治医)と型取りをしてインプンラントを完成までさせた歯科医とが異なる(分業)ので、どうしてこうなったのかよく分からない。』といった無責任な対応をされた。最近、第3者に相談していた矢先に 隣の前の差し歯も取れた。同僚の紹介(静脈麻酔で親知らずを抜歯した)でここに来た。先生の見解を聞かせて欲しい。」でした。
(1)まず、取れた差し歯の根には、ヒビが入っている事が確認できました(マイクロスコープで割れた根を大きく拡大して双方確認)。
※ 歯の根にヒビが入っていると抜歯の確率が高まります。
(2)次にインプラント部を一般的なレントゲンでチェックしましたが、特に問題となるような所見はありませんでしたが…。
歯科用のCT画像で確認すると確かに薄い骨幅の骨の断面から、インプラントが突き抜けていることが判明いたしました。
正直、厳しいな〜と感じました。
『「貴方は強い噛み合わせをしているので、前歯をブリッジ(セラミック製)にするとブリッジもダメになります。!それなら同額(45万)のインプラントにしませんか?」という主治医の説明でインプラントを選択した。
それなのに「えっ!インプラントを抜いてブリッジに代える? ブリッジにしても大丈夫なんですか?」と前医に尋ねても
『インプラントを撤去してしまうと、貴方の場合はインプラントの再移植はもう出来ない。だからブリッジになってしまう。』と言われ、不安と怒りが去来。
相談の結果、患者様から「2本のインプラント(新旧)施術を当院でお願いします。」といった電話を後日いただきました。
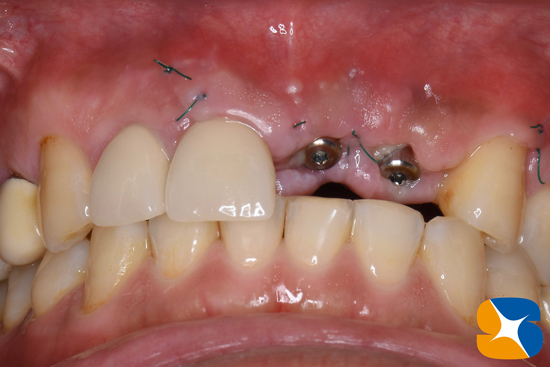
他社インプラントの撤去器材をお借りして、いざ手術開始。
(1)割れた根と(2)骨から突き抜けたインプラントを確認することが出来ました。
割れた根を抜歯
骨から突き抜けたインプラントを撤去
2本のNewインプラント、移植成功。
自己血液を使ってCGFを作り、人口の骨(βーTCP)を骨の欠落部にセッテングしたところです。
使用インプラント:(左)ノーベルバイオケア社製のパラレルCC 直径3.75㎜、長さ13㎜。
(右)アクティブ 直径3.0㎜、長さ13㎜。
無事に施術終了。
テレビ関係者のため、直ぐにでも前歯が必要でしたので、施術後1週間で型取りを行いました。
※傷口を縫い合わせる糸はまだ残ったままの状態
施術後、僅か2週間で仮のインプラントを装着しました。
噛み込みが強いため、仮歯の分厚さの調整は慎重に行っています。
かなり難度の高い施術でしたが、術後2ヶ月経った今も経過は良好です。
また、私は一切関わっていませんが、前医との間で訴訟にまでは至らなかったようです。
これも良かったです。
〈患者様の感想〉
・正直、インプラントは諦めていたので本当に救って頂いた。
・仮歯もこんなに早く入れてもらい助かりました。
・麻酔をしたことも、最後の糸を縫っていたことも覚えていない。楽だった。
・最初の3日は痛かった。腫れも若干あったが、1週間もすれば落ち着いた。以前のような違和感は全くない。
〈私の感想〉
上手く経過をたどってくれていて本当に嬉しいです。
前歯は奥歯に比べて難しい。というのも早期に見た目(仮歯)を装着しなければならないからです。現に術後1週間での型取りは私も初めての経験です。
インプラントを移植するポジション、角度、深度、すべて狂いなく行われなければ成功しません。
施術後、「よっしゃ完璧!」と感じていましたが、消毒・洗浄で来院される度に正直ドキドキしていました。
また、陥没していた歯茎も同時にボリュームアップしていますので最終結果が楽しみです。
(参考)今回のインプラント2本分の費用:静脈麻酔鎮静法(無料)・骨の造成・仮歯・セラミックの前歯まで完成させて総額80万(税別)です。
※10年保証
元気・やる気・Dr.鈴木のコラム
2019/8/3
トラブル・インプラントのセカンドオピニオン続々(2)











