元気・やる気・Dr.鈴木のコラム

 2019/9/15 

がっちりBodyを支えたブリッジが崩壊 その救世主とは
カテゴリ:Dr.鈴木日記 インプラント 歯科全般 静脈麻酔鎮静法 

奈良 生駒 石切 インプラント 寝ながら無痛インプラント 良心価格 10年保証 再生医療 40代の会社員男性。主訴は「12年ほど前に入れたブリッジが、唐揚げを食べていた時に折れた。痛くて噛めない。以前から先生に『被せたブリッジの手前側が外れているので、悪くなる前にやり直した方がいいよ』と言われていた所。ほっといた自分が悪い。御輿(みこし)も担いでいるので、奥歯に力が入らないとシャレならん。インプラントも考えている。」でした。

奈良 生駒 石切 インプラント 寝ながら無痛インプラント 良心価格 10年保証 再生医療 まず、CT画像で現状を伝え、充分な治療計画を元にカウンセリングした結果、インプラント施術を行うことになりました。緊急手術のため今回は、技工士さんに依頼した手作りサージカルガイド(手術用のナビゲーション:無料)を使用しました。

奈良 生駒 石切 インプラント 寝ながら無痛インプラント 良心価格 10年保証 再生医療 3本のインプラント移植抜歯穴に人工骨とCGFを混ぜ合わせて埋めた「骨の再生治療(無料)」も同時に行いました。

奈良 生駒 石切 インプラント 寝ながら無痛インプラント 良心価格 10年保証 再生医療 施術から5日目。「痛みも腫れも気にならなくなってきた。」とのこと。

奈良 生駒 石切 インプラント 寝ながら無痛インプラント 良心価格 10年保証 再生医療 施術から2ヶ月後の型取り前の様子。当院では、必ず仮の歯を用意・装着して「噛み合わせの慣らし」を行います。

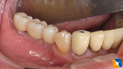
奈良 生駒 石切 インプラント 寝ながら無痛インプラント 良心価格 10年保証 再生医療 インプラントの施術から3ヶ月後の様子。セラミックで出来たネジ固定式の白い奥歯が完成しました。

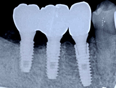
奈良 生駒 石切 インプラント 寝ながら無痛インプラント 良心価格 10年保証 再生医療 奈良 生駒 石切 インプラント 寝ながら無痛インプラント 良心価格 10年保証 再生医療 常時ー静脈麻酔鎮静 再生医療 良心的価格 石切 生駒 奈良 インプラント特化 使用インプラント:USAオステム社製 TⅡ-SA 左端から長さ8.5,10,11.5㎜の順。太さはいずれも直径4㎜。

〈患者様の感想〉
・先生すごいわ!ほんまによく噛める。ここまで噛めるとは思わんかった。インプンラントを入れていることを忘れてしまうのが怖い。
奥歯がやられてこの先どうなるのか正直焦った。改めて歯の大切さを痛感した。
・しゃれならんくらい怖がりやけど、寝ながら(静脈麻酔鎮静法)の手術がほんまに有り難かった。

※総額110万円(税抜き)
※10年保証