八尾市より50才の男性。高校教師。主訴は「10年前、鈴木先生になんとか残してもらった奥歯が痛くて噛めない。いよいよ抜かないとダメだと思う。抜いた後の事も相談したい。」でした。
Dr.「よくここまで持ったと思います。ただし、奥歯が1本無いまま過ごしてこられたので、上の一番奥の歯が、垂れ下がっています。銀歯の手前の歯もベロ側に(内向きに)傾いているので、入れ歯も作るのも、慣れるのも、大変だと思います。
インプラントを2本移植して「しっかり噛める奥歯」を作るのがベストかもしれません。
グラグラの奥歯(分割歯)を抜歯させて頂いたところです。
2本のインプラントが移植されました。経過良好です。
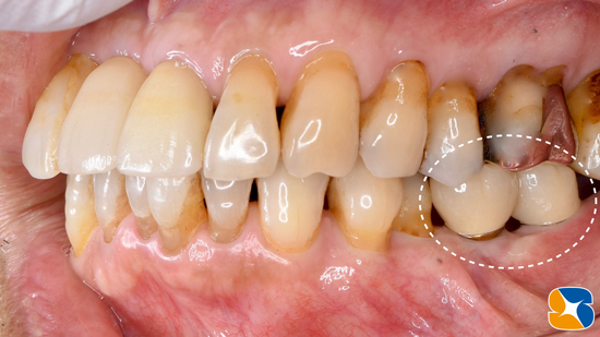
2連結のセラミックにインプラントが、装着(完成)されました。
〈患者様の感想〉
・昔、先生に抜歯してもらった時に比べて全然楽やった。歯をぬいて、その日にインプラントをしてもらって、目が覚めたら終わっていた。
何も覚えていない。ほんま楽やった。
・傾いている歯もどうしようか悩んだけど、先生に『無理に抜く必要はない』と言ってもらった歯磨きガンバって残そうと思った。
・小学校にあがった時に生えてきたのを覚えている。50年間よく噛んでくれてお礼をいいたい。先生にインプラントをしてもらって良かった。
お母ちゃんに「大人の歯はもう生えてこないから、死ぬまで使わんとアカンねんで」と言われていたのにすごい時代になりましたね。
元気・やる気・Dr.鈴木のコラム
2019/12/18
小1に生えてきた思い出の6才臼歯。次はインプラントで…。











