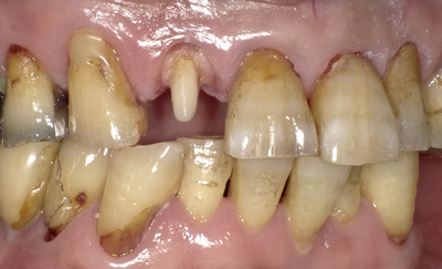
70代の男性、当院の建築社長。主訴は「折れたところだけセラミックに治して欲しい」でした。折れた根の中に、強化グラスファイバーの芯を注入して土台を作製。形を整えて、セレックで画像を読み込むところまで進めました。
口の中をスキャニングしたところ
続きを読む
元気・やる気・Dr.鈴木のコラム
前歯の価値観
カテゴリ:審美 歯科全般
生まれて初めての丁寧な治療に感謝
カテゴリ:審美 歯科全般
奈良より60代の男性。主訴は「前歯がグラグラしていて外れそうなので入れ歯が使えない。3年前に治療してもらった先生に訴えると『上の前歯を全部抜いて、総入れ歯にした方がいいですね』と言われた。恐くなって友達の紹介でここに来た。少しでも残したい。歯の無い所は、部分入れ歯でお願いしたいのですが…」でした。

上記写真は、そいの合ってない6連結の被せ物を前歯から取り除いたところです。
精査の結果、6本中→5本を抜かずに残すことに(1本のみ抜歯)なりました。 続きを読む
危機一髪!抜歯を救う再生治療
カテゴリ:審美 歯科全般
遠方より40代の女性。主訴は「前歯がグラグラしている。何処の歯医者さんに行っても『これは抜かないとダメ』と言われる」でした。
〈レントゲンの結果〉
歯周病のため、歯を支えている骨がかなり失われています。このレントゲン画像を見れば、まず「抜歯」と言われるでしょうね。本気で残すことを希望するのであるならば、歯茎の手術&再生治療(エムドゲイン)を考えます。仮にグラつきが落ち着けば、最後はセラミックで前歯をきれいに整えますか?。 続きを読む
矯正装置そのままで虫歯の型取り
カテゴリ:審美 歯科全般 矯正
大阪市内より30代の女性。主訴は「5日後の矯正の予約日までに、矯正装置を外さずに虫歯の治療を終わらせて欲しい」
「本日、1回だけで治療を完成させる」事を前提に、患者様は「セラミックの詰め物」を選択されました。左記の画像は、削り終えた歯の部分(=上記写真)を、セレックを使用してPCに読みこませた状態。 続きを読む
時間がない!セレックってどんなん?
カテゴリ:審美 歯科全般
30代の男性。主訴は「保険で入れた銀歯が目立つ。白い歯に代えたい。仕事が忙しくて休みが取れない。一日で仕上がると聞いたのでここに来た」でした。相談の結果、自費でオールセラミックになりました。
まず神経を残したままの銀歯を撤去。次は、オールセラミックの強度に合わせるため、歯を全周、均等にきっちりと切削しました。左(=写真=)は、スキャナーで画像を読み込む前の状態です。 続きを読む
カリスマ美容師のセカンドオピニオン
カテゴリ:審美 歯科全般
大東市から40代の男性。訴えは「奥歯の根が割れていて(=写真 X 部=)、『1本まるまる抜歯する』と説明された。
また、抜歯後は “インプラント” 強くを薦められている。一度、先生の御意見を聞かせていただきたい」でした。
〈治療前のX線〉
Dr「1本の奥歯を半分 抜歯して、半分 残すという分割テクニック法があります。その後は、3連結のブリッジ(入れ歯ではない)にできます」
続きを読む
セレックが窮地を救う こん身の一本
カテゴリ:審美 歯科全般
年末の急患30代の女性。主訴は、「転倒して前歯が欠けた。しみる。強度があり、長持ちする歯を年内に出来ますか?」でした。
神経の残したまま、セラミックの被せ物を装着する準備を開始。多彩な色見本と一緒に、お口の中の撮影は必須。毎晩、この写真を参考に前歯を製作しています。 続きを読む
パーティー前に前歯が欠けた
カテゴリ:審美 歯科全般
周りに「悪さ」をする親知らず
カテゴリ:審美 歯科全般 親知らず
30代の女性。主訴は「親知らず辺りが痛い」でした。
〈レントゲン〉
親知らずの隣りの歯が、大きな虫歯になっていました。痛みを止めるためにも神経を抜かなくてはなりません。親知らずの抜歯と同時に行ないました。 続きを読む
前歯にゴールド金を被せていた時代
カテゴリ:審美 歯科全般
85才のお婆ちゃん、娘さんと一緒に来院。
主訴は「40年前から馴染んでいた前歯の金を取ってもらいたい。足も良くないので、治療回数を最小限でお願いします」でした。
Dr:「金の被せの歯は、中で黒く虫歯にもなっていますね。痛みは『ない』ようですので、神経を残したまま、白い被せ物を入れてみたいと思います」 続きを読む
70代の男性。主訴は「前歯が2カ所 欠けた(12/21)。クリスマスパーティーまでに前歯を治して欲しい」でした。
小さい方は、ハイブリッド樹脂(レジン)を使って修復(保険)。大きい方は、オールセラミックを被せる










