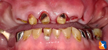
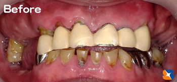
奈良より60代の男性。主訴は「前歯がグラグラしていて外れそうなので入れ歯が使えない。3年前に治療してもらった先生に訴えると『上の前歯を全部抜いて、総入れ歯にした方がいいですね』と言われた。恐くなって友達の紹介でここに来た。少しでも残したい。歯の無い所は、部分入れ歯でお願いしたいのですが…」でした。

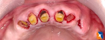
上記写真は、そいの合ってない6連結の被せ物を前歯から取り除いたところです。
精査の結果、6本中→5本を抜かずに残すことに(1本のみ抜歯)なりました。
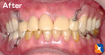
5連結ではなく、1本ずつ丁寧に個別で前歯を被せました。
最後は、上下に部分入れ歯をはめ込んで完成しました。
「想像していた以上の仕上がりに、感激しています。入れ歯も今までにない薄さと軽さに驚いています。何でも噛めるようになったので、『最近ふっくらしてきたな』と友達からも言われます。先生、どうもありがとうございました」
元気・やる気・Dr.鈴木のコラム
2016/4/8
生まれて初めての丁寧な治療に感謝











